Hand & pols
Scapholunaire ligamentruptuur
Een scapholunaire ligamentruptuur is een gescheurde polsband tussen twee handwortelbeentjes. Ontdek de symptomen, diagnose en behandelingsopties.
Inhoud
Scapholunaire ligamentruptuur
Wat is het?
Bij wie komt het voor?
Wat zijn de symptomen?
Hoe stelt de arts de diagnose?
Wanneer naar een volgende stap?
Behandeling
Prognose
Conclusie
Wat is het?
Een scapholunaire ligamentruptuur is een scheur van een belangrijke gewrichtsband in de pols. Scapholunair verwijst naar de twee botjes die de band verbindt: het scheepsvormig bot (scaphoid) en het maanvormig bot (lunatum). Deze scapholunaire band houdt de handwortelbeentjes stabiel en zorgt dat ze gecoördineerd bewegen. Wanneer dit ligament scheurt – volledig of gedeeltelijk – kunnen het scaphoid en lunatum uit elkaar wijken. Dit leidt tot pijn en verminderde polsstabiliteit. Een scapholunaire ligamentruptuur wordt ook wel een SL-scheur genoemd (SL staat voor scapho-lunair). Op lange termijn kan een onbehandelde scapholunaire scheur leiden tot slijtage (artrose) van de pols.

Bij wie komt het voor?
Een scapholunaire ligamentruptuur ontstaat meestal door een trauma. Vooral de volgende situaties en groepen lopen risico:
- Val op een uitgestrekte hand: Dit is de meest voorkomende oorzaak. Bijvoorbeeld als je tijdens sporten of fietsen valt en met gestrekte hand de klap opvangt. De kracht van de val kan de scapholunaire band doen scheuren.
- Sportongevallen: Contactsporten of sporten met een hoog risico op vallen (zoals snowboarden, skateboarden, voetbal) kunnen leiden tot een scapholunaire ligamentruptuur. Meestal betreft het jongere tot middelbare leeftijd sporters.
- Arbeidsongevallen: Een harde klap of plettrauma van de hand/pols op het werk kan eveneens deze polsband afscheuren.
- Geslacht/leeftijd: Zowel mannen als vrouwen kunnen dit letsel oplopen. Het komt vaker voor bij jongere, actieve mensen omdat die vaker hard vallen. Bij ouderen leidt een val soms eerder tot een botbreuk dan tot een bandruptuur, omdat de banden wat stijver zijn en het bot juist brozer.
Wat zijn de symptomen?
Bij een scapholunaire ligamentruptuur merk je onder andere:
- Polspijn aan de duimzijde: Direct na het trauma ontstaat pijn bovenop de pols, aan de kant van de duim. De pijn kan fel zijn en neemt toe bij beweging of bij steun op de hand.
- Zwelling en blauwe plek: De pols zwelt op na het letsel. Soms zie je ook een blauwe plek op de handrug ter hoogte van het polsgewricht.
- Krachtsverlies: Het is moeilijk om kracht te zetten met de hand. Een fles opendraaien, iets zwaars tillen of opdrukken gaat niet door de pijn en instabiliteit.
- Klik of “klonk”: Sommigen voelen of horen iets “klikken” of “klonken” in de pols bij bewegen. Dit kan duiden op polsbotjes die niet meer goed synchroon bewegen door de gescheurde band.
- Verbetering en terugkeer pijn: In eerste instantie kan de pijn en zwelling binnen enkele weken wat afnemen (zeker als de blessure aanvankelijk als een gewone verstuiking werd gezien). Echter, later kunnen de klachten terugkomen: aanhoudende pijn bij belasting en verminderd bewegingsbereik van de pols.
- Polsinstabiliteit: Bij een volledige scapholunaire ligamentruptuur kan de pols instabiel aanvoelen. Je hebt het gevoel dat er “iets niet pluis” is in de pols bij draaien of buigen.
Hoe stelt de arts de diagnose?
Een scapholunaire ligamentruptuur kan lastig te diagnosticeren zijn op het eerste gezicht. De orthopedisch chirurg of handchirurg zal het volgende doen:
- Anamnese of vraaggesprek: De arts vraagt naar het ongeval en je klachten. Een val op de hand met daarna pijn aan de radiale (duim)zijde van de pols doet hem denken aan een scapholunair letsel, zeker als de pijn na enkele weken niet volledig verdween.
- Klinisch onderzoek: De pols wordt onderzocht op pijnpunten en stabiliteit. Een specifieke test is de Watson-test: de arts drukt op het scaphoid terwijl hij de pols in bepaalde richtingen beweegt. Bij een scapholunaire ligamentruptuur kan dit een pijnlijke “klik” geven wanneer scaphoid en lunatum verkeerd ten opzichte van elkaar bewegen. Ook kijkt de arts of er zwelling of voelbare verschuiving is.
- Beeldvorming:
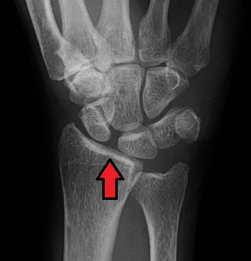
- Röntgenfoto (RX): Eerst wordt een röntgenfoto gemaakt. Bij een volledige scapholunaire scheur kan op de foto een vergrote ruimte te zien zijn tussen het scaphoid en lunatum (het zogenaamde Terry Thomas sign). Soms is dit alleen zichtbaar op specifieke opnamen, zoals een clenched fist view (röntgenfoto terwijl je een vuist maakt).
- MRI-scan of CT-scan: Als de gewone foto geen duidelijkheid geeft maar de verdenking blijft, kan een MRI of CT gedaan worden om de band en eventuele bijkomende schade in beeld te brengen.
- Arthroscopie: In twijfelgevallen of bij gedeeltelijke scheuren kan de arts een kijkoperatie van de pols (arthroscopie) voorstellen. Hierbij kan hij direct in het gewricht kijken om een scapholunaire ligamentruptuur met zekerheid vast te stellen en eventueel meteen behandelen.

Wanneer naar een volgende stap?
Behandeling
De behandeling van een scapholunaire ligamentruptuur hangt af van de ernst (volledig of gedeeltelijk) en hoe lang geleden het letsel is opgetreden:
- Stap 1: Conservatieve behandeling (bij milde of partiële scheur). Bij een gedeeltelijke scheur of als de diagnose pas laat gesteld wordt, kan men starten met niet-operatieve maatregelen:
- Immobilisatie: De pols wordt 4 à 6 weken geïmmobiliseerd met gips of een stevige polsbrace. Dit geeft de gescheurde band de kans om te herstellen of littekenweefsel te laten vormen dat de stabiliteit enigszins terugbrengt.
- Pijnbestrijding: Ontstekingsremmers (NSAID’s) of paracetamol verminderen de pijn en zwelling.
- Injectie: Soms wordt een cortisone-injectie in de pols gegeven om de ontstekingsreactie te remmen, vooral als er tekenen van irritatie of beginnende slijtage zijn. Dit kan tijdelijke pijnverlichting bieden.
- Handtherapie: Nadat de immobilisatieperiode voorbij is, start je voorzichtig met oefeningen onder begeleiding van een handtherapeut. Dit is bedoeld om de pols te versterken en de beweeglijkheid te verbeteren zonder de band teveel te belasten.
- Chirurgische ingreep (acute of ernstige gevallen). Bij een volledige scapholunaire ligamentruptuur of aanhoudende instabiliteit is een operatie doorgaans noodzakelijk:
- Hechten van het ligament: Als het letsel kort geleden gebeurde, kan de chirurg proberen de uiteinden van het scapholunaire ligament weer aan elkaar te hechten en de polsbotjes tijdelijk met pinnetjes vast te zetten zodat de band kan genezen. Scafolunaire letsels worden tegenwoordig in de meeste gevallen via arthroscopie of kijkoperatie behandeld. Hierdoor kan het beschadigde ligament gehecht of verstevigd worden zonder grote littekens. Dit scheelt in de revalidatie en zorgt voor minder verstijving van de pols nadien.

- Reconstructie :Is de scheur ouder of de kwaliteit van het weefsel slecht, dan wordt vaak een reconstructie uitgevoerd. De techniek gebruikt een strookje van een polspees (bijvoorbeeld een deel van een buigpees) om de functie van het gescheurde ligament over te nemen en scaphoid en lunatum weer bij elkaar te houden.

- Behandeling van artrose: Als er reeds polsslijtage (artrose) is opgetreden door een lang bestaande scapholunaire scheur, zal de chirurg een salvage-procedure overwegen in plaats van reconstructie. Mogelijkheden zijn bijvoorbeeld een gedeeltelijke polsfusie (vier-botten arthrodese, waarbij enkele handwortelbeentjes worden vastgezet) of een proximale rij carpectomie (het verwijderen van de hele eerste rij handwortelbeentjes, inclusief het scaphoid). Deze ingrepen stabiliseren de pols en verminderen de pijn, maar beperken de bewegingsvrijheid.
Na een operatie wordt de pols meestal enkele weken tot maanden geïmmobiliseerd in gips of een spalk. Vervolgens is intensieve revalidatie met een handfysiotherapeut nodig om de pols weer soepel te krijgen en de spieren te versterken.
Prognose
Bij een tijdig herstelde scapholunaire ligamentruptuur is de prognose redelijk: jongere patiënten die snel geopereerd worden (binnen enkele weken na het letsel) hebben de beste kans op herstel van de polsfunctie. Vaak blijft de pols na herstel wel iets stijver of minder krachtig dan voorheen, maar dagelijkse handelingen zijn doorgaans weer goed mogelijk. Als de diagnose pas laat gesteld wordt of de behandeling wordt uitgesteld, neemt de kans op polsartrose toe. Een langdurig onbehandelde scapholunaire ligamentruptuur leidt vaak tot blijvende instabiliteit en slijtage (een zogenoemde SLAC-pols: scaphoid lunate advanced collapse). In zulke gevallen is het eindresultaat na salvage-operaties vaak een duidelijke vermindering van de polsbeweeglijkheid, al is de pijn meestal wel aanzienlijk minder. Vroege herkenning en behandeling van een scapholunaire bandruptuur zijn dus erg belangrijk voor een optimaal herstel.
Conclusie
Een scapholunaire ligamentruptuur is een gescheurde polsband tussen het scheepsvormig en maanvormig handwortelbeentje. Het veroorzaakt pijn, zwelling en mogelijk blijvende instabiliteit in de pols. Laat bij een aanhoudende polsklacht na een val altijd je pols controleren: een tijdig vastgestelde scapholunaire scheur kan met de juiste behandeling hersteld worden, wat toekomstige problemen zoals artrose helpt voorkomen. Dankzij moderne operatieve technieken – van directe bandhechting tot reconstructie – en goede revalidatie kunnen veel patiënten na een scapholunaire ligamentruptuur terugkeren naar een vrijwel pijnvrije en functionele pols, zij het soms met iets minder bewegingsvrijheid.
Maak een afspraak
Online
Het is mogelijk om je afspraak online vast te leggen via onderstaande link.
Telefonisch
Maak je je afspraak liever telefonisch? Dan kan je terecht bij ons secretariaat:
Maak een afspraak
Maak je je afspraak liever telefonisch? Dan kan je terecht bij ons secretariaat:



.png)