Hand & pols
Polsartrose
Polsartrose is slijtage van het polsgewricht en leidt tot polspijn en stijfheid - symptomen, diagnose en behandeling (polsprothese of vastzetten pols).
Inhoud
Polsartrose
Wat is het?
Bij wie komt het voor?
Wat zijn de symptomen?
Hoe stelt de arts de diagnose?
Wanneer naar een volgende stap?
Behandeling
Prognose
Conclusie
Wat is het?
Polsartrose is een vorm van gewrichtsslijtage in de pols. Hierbij gaat het kraakbeen in het polsgewricht geleidelijk verloren, wat resulteert in een versleten pols. Deze aandoening kan ontstaan door normale veroudering (primaire artrose) of als gevolg van een eerder letsel (posttraumatische artrose), zoals een gebroken pols of oud ligamentletsel. Bij polsartrose komen twee botoppervlakken direct tegen elkaar, wat pijn en bewegingsbeperking veroorzaakt.

Bij wie komt het voor?
Polsartrose kan bij verschillende groepen voorkomen:
- Leeftijd: vaker bij personen boven de 50 jaar, door natuurlijke slijtage.
- Voorgeschiedenis: mensen die vroeger een zwaar polstrauma (bijvoorbeeld een complexe breuk) opliepen, kunnen jaren later polsartrose ontwikkelen.
- Overbelasting: fysiek zwaar werk of sporten die de polsen intensief belasten kunnen op lange termijn bijdragen tot polsartrose.
- Geslacht: zowel mannen als vrouwen kunnen polsartrose krijgen, al wordt soms een iets hogere frequentie bij vrouwen gezien op latere leeftijd.
Wat zijn de symptomen?
Bij polsartrose kunnen de volgende symptomen optreden:
- Pijn: zeurende of scherpe polspijn, vooral bij beweging of het dragen van gewicht op de hand. In rust kan de pijn verminderen.
- Stijfheid: vooral ’s ochtends of na een periode van rust voelt de pols stijf aan. Het draaien van de pols of op en neer bewegen van de hand gaat minder vlot.
- Krachtverlies: voorwerpen oppakken of een draaibeweging maken (zoals een deurknop omdraaien) lukt minder goed door verminderde kracht in de hand en pols.
- Zwelling en kraken: soms zwelt de pols licht op en kan men een krakend of schurend gevoel horen/voelen bij beweging als gevolg van de versleten pols.
- Bewegingsbeperking: de pols kan minder ver buigen of strekken door de polsartrose. Dit beperkt dagelijkse handelingen zoals steunen op de hand of iets krachtig wringen.
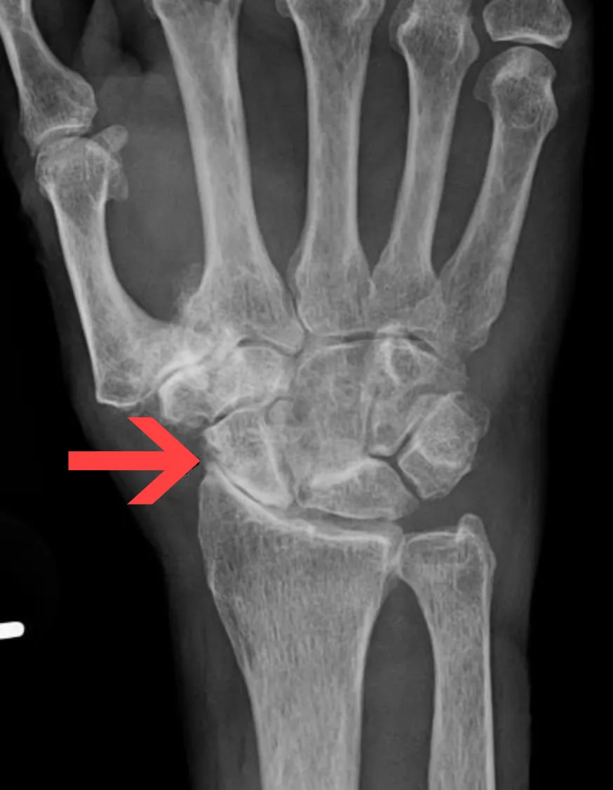
Hoe stelt de arts de diagnose?
De arts zal polsartrose diagnosticeren via:
- Anamnese: er wordt gevraagd naar de aard van de pijn, het verloop (bijvoorbeeld of de klachten erger worden na belasting) en naar eventuele vroegere polsblessures of operaties. Ook wordt besproken in hoeverre de polspijn de dagelijkse activiteiten belemmert.
- Klinisch onderzoek: de pols wordt onderzocht op pijnpunten en bewegingsbeperking. De arts test de bewegingsuitslag (hoe ver de pols kan buigen en strekken) en kijkt of bepaalde bewegingen pijn uitlokken. Er kan druk worden uitgeoefend op het polsgewricht om na te gaan waar dit gevoelig is.
- Beeldvorming: met een röntgenfoto van de pols kan polsartrose bevestigd worden. Op de foto ziet men een versmalling van de gewrichtsruimte, botvergroeiingen (osteofyten) en soms standsafwijkingen van de polsbeentjes. In sommige gevallen wordt een CT-scan of MRI gemaakt om details van het gewricht en eventuele botschade beter in kaart te brengen.

Wanneer naar een volgende stap?
Behandeling
Afhankelijk van de ernst van de klachten zijn er meerdere behandelingsmogelijkheden voor polsartrose.
Stap 1: Wat kan je zelf of de huisarts reeds doen?
- Rust en hulpmiddelen: vermijd zware belastingen en repetitieve bewegingen die pijn veroorzaken.
- Polsbrace: draag eventueel een polsbrace om het polsgewricht rust te geven.
- Medicatie: gebruik pijnstillers of ontstekingsremmers (zoals paracetamol of NSAID’s) om de polspijn te verlichten.
Stap 2: Cortisone-injectie
Bij aanhoudende klachten kan de arts een injectie met corticosteroïden in de pols toedienen. Dit vermindert tijdelijk de ontstekingsreactie en kan de pijn bij polsartrose meestal voor enkele maanden verlichten.
Stap 3: Operatief
Als de pijn ernstig is en de handfunctie erg beperkt wordt door de versleten pols ondanks voorgaande behandelingen, kan een operatie overwogen worden. Het type operatie is afhankelijk van het slijtageprofiel en de gewenste beweeglijkheid en belastbaarheid:
- Polsprothese: het polsgewricht wordt vervangen door een kunstgewricht (polsprothese) om beweging te behouden. Deze optie wordt vooral bij oudere patiënten toegepast die geen zware arbeid verrichten.

- Arthrodese (vastzetten van de pols): de arts kan de pols vastzetten, waardoor de pijn verdwijnt omdat het polsgewricht aan elkaar groeit.
De pols kan gedeeltelijk of volledig worden vastgezet, afhankelijk van het type en de ernst van de artrose.
In geval van gedeeltelijke polsarthrodese houdt de pols nog een zekere beweeglijkheid, ongeveer de helft van een normaal pols gewricht.
Een nadeel is dat de pols na het volledig vastzetten niet meer kan buigen of strekken, maar kracht zetten (duwen, tillen) en draaien van de pols is meestal weer pijnvrij mogelijk.

- Proximale rijresectie: In bepaalde situaties kan een proximale rijresectie worden uitgevoerd. Hierbij wordt de eerste rij van drie handwortelbeentjes verwijderd. De pols scharniert nadien in één enkel gewricht in plaats van in twee gewrichten. Deze ingreep laat nog een zekere graad van beweeglijkheid toe, meestal ongeveer de helft van een normaal polsgewricht (dit wil zeggen ongeveer 45° plooien en strekken).

Na een operatie volgt een revalidatieperiode. Bij een polsprothese zal de pols geleidelijk bewogen en versterkt worden onder begeleiding van een kinesist. Na vastzetten van de pols moet het gewricht enkele weken tot maanden in gips of een spalk om de pols te laten vastgroeien.
Prognose
Polsartrose is een chronische aandoening. In vroege stadia kunnen eenvoudige maatregelen de klachten draaglijk maken en het verloop vertragen. Indien een operatie nodig is, kan zowel een polsprothese als een arthrodese goede pijnverlichting geven. Een polsprothese behoudt bewegingsvrijheid in de pols maar laat geen zware belasting toe. Het vastzetten van de pols (arthrodese) is zeer stabiel en doorgaans pijnvrij, maar de beweging is permanent weg. Een gedeeltelijke polsarthrodese of een proximale rijresectie zorgen voor het verdwijnen van de pijn, met een behoud van ongeveer de helft van beweeglijkheid van een normale pols. Samen met de orthopedisch chirurg wordt bekeken welke optie het meest geschikt is voor de patiënt.
Conclusie
Polsartrose (polsslijtage) kan dagelijkse handelingen bemoeilijken door pijn en stijfheid in de pols. Vroegtijdige herkenning en aangepaste maatregelen (zoals een brace of rust) kunnen de pijn verlichten en progressie afremmen. Bij ernstige polsartrose bieden chirurgische ingrepen – zoals een polsprothese of vastzetten van de pols – een effectieve oplossing om de pijn weg te nemen en de hand weer beter te laten functioneren.
Maak een afspraak
Online
Het is mogelijk om je afspraak online vast te leggen via onderstaande link.
Telefonisch
Maak je je afspraak liever telefonisch? Dan kan je terecht bij ons secretariaat:
Maak een afspraak
Maak je je afspraak liever telefonisch? Dan kan je terecht bij ons secretariaat:
Veel gestelde vragen
Wat zijn de symptomen van polsartrose?
Polsartrose veroorzaakt zeurende of scherpe polspijn (vooral bij beweging of belasting), stijfheid (typisch 's ochtends), krachtverlies en bewegingsbeperking. Soms is er lichte zwelling en een krakend of schurend gevoel bij beweging van de versleten pols.
Hoe ontstaat polsartrose?
Polsartrose ontstaat door geleidelijk verlies van kraakbeen in het polsgewricht. De aandoening kan optreden door normale veroudering (primaire artrose), maar ook na een eerder polstrauma zoals een gebroken pols of ligamentletsel (posttraumatische artrose). Zwaar handwerk en sporten die de pols intensief belasten kunnen op lange termijn bijdragen.
Hoe wordt polsartrose behandeld?
De behandeling start met rust, een polsbrace en pijnstillers of NSAID's. Bij aanhoudende klachten kan een cortisone-infiltratie helpen. Wanneer de klachten invaliderend blijven, kan een operatie nodig zijn: een polsprothese, een gedeeltelijke of volledige polsarthrodese, of een proximale rijresectie afhankelijk van het type slijtage.
Wat is het verschil tussen een polsprothese en een polsarthrodese?
Een polsprothese vervangt het versleten polsgewricht door een kunstgewricht waardoor beweging bewaard blijft. Deze ingreep is vooral geschikt voor oudere patienten zonder zwaar handwerk. Bij een polsarthrodese wordt de pols volledig vastgezet: de pijn verdwijnt en de pols wordt zeer stabiel, maar buigen en strekken zijn niet meer mogelijk. Kracht zetten en draaien blijven wel mogelijk.
Hoelang duurt het herstel na een polsoperatie?
Na een operatie aan de pols volgt meestal enkele weken gips of een spalk om de weefsels te laten genezen of botstructuren te laten vastgroeien. Daarna start revalidatie bij een gespecialiseerde kinesist. De volledige revalidatie duurt verschillende weken tot maanden, afhankelijk van het type ingreep (prothese, arthrodese of resectie).
Welke arts behandelt polsartrose bij Orthopedie Turnhout?
Bij Orthopedie Turnhout wordt polsartrose behandeld door de gespecialiseerde hand- en polschirurgen. Zij hebben specifieke ervaring met conservatieve aanpak, infiltraties en complexe ingrepen zoals polsprothese, partiele en volledige arthrodese en proximale rijresectie. Een verwijzing van uw huisarts is meestal aangewezen.



.png)



