Hand & pols
Vingerartrose
Vingerartrose is slijtage van de vingergewrichten (PIP en DIP) die knobbels, pijn en stijfheid veroorzaakt. Lees over symptomen, diagnose en behandelingen.
Inhoud
Vingerartrose
Wat is het?
Bij wie komt het voor?
Wat zijn de symptomen?
Hoe stelt de arts de diagnose?
Wanneer naar een volgende stap?
Behandeling
Prognose
Conclusie
Wat is het?
Vingerartrose is slijtage van de gewrichten in de vingers. Het betreft meestal de gewrichten van het middelste kootje (PIP-gewricht) en het eindkootje (DIP-gewricht). Door het verdwijnen van kraakbeen in deze kleine gewrichten ontstaat een versleten vingergewricht, met bot-op-bot contact. Het lichaam reageert met het vormen van extra bot rondom het gewricht, wat leidt tot zichtbare knobbels op de vinger. Deze knobbeltjes zijn kenmerkend. In de volksmond spreekt men soms van “slijtage vinger” of een “knobbel vinger”. Hoewel de misvormingen doen denken aan reuma, is vingerartrose een slijtageproces en geen ontstekingsziekte (zoals reumatoïde artritis). Met andere woorden: “reuma vinger” duidt meestal op een ander ziekteproces dan artrose.

Bij wie komt het voor?
Vingerartrose komt vooral voor bij:
- Leeftijd: mensen boven de 50 jaar, doordat het kraakbeen naarmate men ouder wordt slijtage vertoont.
- Geslacht: vrouwen hebben meer kans op vingerartrose dan mannen, vooral na de menopauze.
- Erfelijkheid: als artrose veel voorkomt in de familie, is de kans groter dat iemand ook vingerartrose in één of meerdere vingers ontwikkelt.
- Overbelasting: intensief handwerk of herhaalde belastende bewegingen (bijvoorbeeld veel schrijven, naaien of muziekinstrument spelen) kunnen op termijn slijtage in de vingergewrichten bevorderen.
Wat zijn de symptomen?
Mogelijke klachten bij vingerartrose zijn:
- Pijn: pijnlijke vingergewrichten, vaak vooral aan de bovenkant van het middelste of laatste vingerkootje. De pijn verergert bij gebruik (knijpen, typen) van de vinger en kan afnemen in rust.
- Stijfheid: de aangetaste vingers voelen stijf, vooral na langere rust (ochtendstijfheid). De beweeglijkheid van het gewricht is verminderd.
- Knobbels: harde, benige knobbeltjes op de PIP- en DIP-gewrichten. Deze worden Heberden-knobbels genoemd aan het DIP-gewricht en Bouchard-knobbels aan het PIP-gewricht. Ze kunnen het gewricht dik en misvormd doen lijken (wat soms op “reumavingers” lijkt).
- Krachtverlies: door de pijn en misvorming is de knijpkracht van de hand verminderd. Fijne handelingen (zoals knopen dichtdoen of een potje opendraaien) kunnen moeilijker gaan.
- Bewegingsbeperking: het volledig buigen of strekken van de aangedane vinger lukt niet meer vlot door de vingerartrose. Soms staat de vinger in een licht gebogen stand die niet volledig kan worden gecorrigeerd.

Hoe stelt de arts de diagnose?
De arts herkent vingerartrose vaak aan het typische klinische beeld:
- Anamnese: er wordt gevraagd naar de pijnklachten (wanneer treden ze op, bij welke bewegingen), de evolutie van eventuele knobbels en stijfheid, en of er familieleden zijn met artrose of reuma.
- Klinisch onderzoek: de vingergewrichten worden geïnspecteerd op knobbels en eventuele afwijkende stand. De arts test de beweeglijkheid en vraagt of bepaalde bewegingen pijn doen. Bij vingerartrose voelt het gewricht dikker aan en kan het bij bewegen kraken of haperen. Belangrijk is ook onderscheid te maken met reumatoïde artritis: bij artrose zijn de knobbels hard en niet erg pijnlijk bij aanraking, terwijl bij reuma vaak ontstoken (rode, pijnlijke) gewrichten voorkomen.
- Röntgenonderzoek: op een röntgenfoto van de hand of vinger zijn de kenmerkende veranderingen bij vingerartrose zichtbaar. Men ziet versmalling van de gewrichtsspleet, botuitsteeksels (osteofyten) en soms kleine cystes in het bot onder het gewricht. Deze foto bevestigt de slijtage in het vingergewricht en helpt de ernst te beoordelen.
Wanneer naar een volgende stap?
Behandeling
Bij vingerartrose wordt de behandeling afgestemd op de ernst van de klachten en hoeveel gewrichten betrokken zijn. De aanpak is meestal als volgt:
- Stap 1: Wat kan u zelf of de huisarts reeds doen?
- Ontlasting: vermijd of doseer handelingen die veel pijn uitlokken in de aangetaste vinger(s).
- Hulpmiddelen: gebruik eventueel hulpmiddelen zoals een rubberen opzetstuk om een pen dikker te maken, zodat u minder kracht op het pijnlijke gewricht hoeft te zetten. Een tijdelijke spalk of tape kan het gewricht rust geven.
- Medicatie: neem bij pijn een eenvoudige pijnstiller (paracetamol) of NSAID’s (ontstekingsremmer) of breng een NSAID-gel lokaal op de vinger aan om de pijn en ontsteking te verminderen.
- Stap 2: Cortisone-injectie
Bij aanhoudende klachten kan de arts een injectie met corticosteroïden in het vingergewricht toedienen. Dit vermindert tijdelijk de ontstekingsreactie en kan de pijn bij vingerartrose voor enkele maanden verlichten. - Stap 3: Operatief
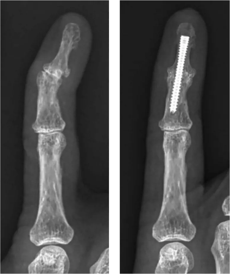
Als een vingergewricht door de vingerartrose zeer pijnlijk en stijf is ondanks eerdere behandelingen, zijn er enkele chirurgische opties:- Arthrodese (vastzetten van de vinger): het aangedane gewricht wordt in een licht gebogen, functionele stand vastgezet. Door het vastzetten van de vinger verdwijnt de pijn vrijwel volledig, maar het gewricht kan niet meer bewegen.
- Vingerprothese: het versleten gewricht wordt vervangen door een prothese (vingerprothese), meestal van siliconenmateriaal. Dit behoudt deels de vingerbeweging.


Prognose
Vingerartrose is een chronische aandoening, maar de klachten zijn meestal goed te behandelen met conservatieve (niet operatieve) maatregelen. De pijn neemt bij veel mensen af zodra de knobbels gevormd zijn en het ziekteproces tot rust gekomen is. Wanneer toch een ingreep nodig is, geeft vastzetten van een vinger vrijwel altijd pijnverlichting en een stabiel resultaat. Een vingerprothese kan de flexibiliteit van de vinger deels behouden, maar er is een iets grotere kans op slijtage of loslating op lange termijn.
Conclusie
Vingerartrose aan de PIP- en DIP-gewrichten leidt tot pijnlijke en stijve vingers met vormveranderingen (knobbels). Het is een slijtageproces dat vaak in meerdere vingers optreedt naarmate men ouder wordt. Gelukkig zijn de klachten vaak mild en goed behandelbaar met eenvoudige maatregelen. In ergere gevallen van vingerartrose kunnen een vingerprothese of een arthrodese (vastzetten van de vinger) een goede uitkomst bieden om de pijn te verhelpen en de handfunctie te verbeteren.
Maak een afspraak
Online
Het is mogelijk om je afspraak online vast te leggen via onderstaande link.
Telefonisch
Maak je je afspraak liever telefonisch? Dan kan je terecht bij ons secretariaat:
Maak een afspraak
Maak je je afspraak liever telefonisch? Dan kan je terecht bij ons secretariaat:
Veel gestelde vragen
Hoe herken ik vingerartrose?
Vingerartrose herkent u aan pijnlijke vingergewrichten, stijfheid (vooral 's ochtends) en harde benige knobbeltjes op de PIP- en DIP-gewrichten. Deze knobbels worden Heberden- (DIP) en Bouchard-knobbels (PIP) genoemd. Vaak gaat dit gepaard met krachtverlies en bewegingsbeperking.
Is vingerartrose hetzelfde als reuma?
Nee, vingerartrose is een slijtageproces van het kraakbeen, terwijl reuma (reumatoïde artritis) een ontstekingsziekte is. Hoewel de vervorming van de vingers soms aan reuma doet denken, is dit fundamenteel een ander ziekteproces. Bij artrose voelen de knobbels hard en zijn ze meestal niet erg pijnlijk bij aanraking; bij reuma zijn de gewrichten typisch rood, warm en pijnlijk ontstoken.
Moet vingerartrose altijd geopereerd worden?
Nee, in de meeste gevallen volstaat een conservatieve behandeling. Pijnstillers, ontstekingsremmers, een spalk of een cortisone-injectie kunnen de klachten goed onder controle houden. Een operatie wordt pas overwogen wanneer de pijn ernstig is en de hand niet meer functioneel bruikbaar is ondanks deze maatregelen.
Wat is het verschil tussen een arthrodese en een vingerprothese?
Bij een arthrodese wordt het versleten gewricht in een functionele stand vastgezet met een schroef. De pijn verdwijnt vrijwel volledig, maar het gewricht beweegt niet meer. Een vingerprothese vervangt het gewricht door een implantaat (meestal silicone) waardoor de beweeglijkheid behouden blijft. Voor het eindkootje (DIP) verkiest men meestal een arthrodese; voor het middelste kootje (PIP) wordt vaker een vingerprothese geplaatst.
Hoelang duurt het herstel na een operatie aan vingerartrose?
Na de ingreep wordt de hand kort in een verband of spalk gehouden. Daarna start u handtherapie bij een gespecialiseerde kinesitherapeut om de beweeglijkheid en kracht van de hand te herstellen. De volledige revalidatie duurt ongeveer zes weken. Zwaar handwerk wordt de eerste weken afgeraden.
Welke arts behandelt vingerartrose bij Orthopedie Turnhout?
Bij Orthopedie Turnhout kunt u terecht bij de hand- en polschirurgen voor de diagnose en behandeling van vingerartrose. Zij hebben specifieke ervaring met conservatieve behandelingen, infiltraties en chirurgische ingrepen zoals arthrodese en vingerprothese. Een verwijzing van uw huisarts is meestal aangewezen om de afspraak vlot in te plannen.



.png)
