Hand & pols
Vingerbreuk
Een vingerbreuk (vingerfractuur) is een breuk van een vingerkootje. Lees over de symptomen, klinisch onderzoek en welke behandeling mogelijk is.
Inhoud
Vingerbreuk
Wat is het?
Bij wie komt het voor?
Wat zijn de symptomen?
Hoe stelt de arts de diagnose?
Wanneer naar een volgende stap?
Behandeling
Prognose
Conclusie
Wat is het?
Een vingerbreuk is een botbreuk van een van de kootjes (phalangen) van de vinger. Met andere woorden: een gebroken botje in je vinger. Dit wordt ook wel een vingerfractuur of in het dagelijks taalgebruik een gebroken vinger genoemd. Aan elke vinger zitten meestal drie kootjes (bij de duim twee); een breuk kan in elk van deze segmenten voorkomen.
Vingerbreuken ontstaan vaak door een direct trauma, bijvoorbeeld:
- Krachtige stoot of botsing: een bal die hard tegen een uitgestrekte vinger botst (zoals bij basketbal of volleybal) kan het botje doen breken, of een vinger die achter iets blijft haken (bv. shirt van tegenspeler) en geforceerd wordt.
- Verstijving of crush-letsel: de vinger tussen een deur of raam krijgen, of een zwaar object op de vinger laten vallen, leidt geregeld tot een barst of breuk in het vingerbot.
- Ongelukken: een verkeersongeval of een val van een fiets kan gepaard gaan met een gebroken vinger als de hand krachtig de grond raakt.

Bij wie komt het voor?
Iedereen kan een vingerbreuk oplopen bij een ongeluk. Toch zien we het vaker bij:
- Sporters: balsporten en contactsporten leiden regelmatig tot gebroken vingers door de impact op de vingers.
- Kinderen: Bij spelen of valpartijen kunnen kinderen een vingerbreuk oplopen, vaak als “greenstick”-breuk (twijgbreuk) waarbij het bot niet volledig doorbreekt.
- Ouderen: Door brozere botten kunnen ouderen bij een relatief klein ongeval al een vinger breken.
- Beroepsgroepen: Mensen die met zware materialen werken (timmerlieden, monteurs) lopen risico dat een vinger bekneld raakt of ergens hard tegen stoot, met een vingerbreuk als gevolg.
Wat zijn de symptomen?
Bij een vingerbreuk treden al gauw duidelijke klachten op:
- Pijn en zwelling: de aangedane vinger doet direct pijn en zwelt op. De pijn verergert bij bewegen of als je erop duwt. Vaak is de hele vinger pijnlijk, maar de scherpste pijn zit op de plaats van de breuk.
- Blauwe verkleuring: de vinger kan binnen enkele minuten tot uren blauw-paars verkleuren door een bloeduitstorting.
- Bewegingsbeperking: het buigen of strekken van de aangedane vinger lukt niet goed. Je merkt dat je vinger “blokkeert” of simpelweg te veel pijn doet om nog normaal te bewegen.
- Afwijkende stand: soms staat een deel van de vinger scheef of zie je een duidelijke deformiteit. Bij een ernstige verplaatsing kan de vinger krom of verdraaid staan (bijvoorbeeld een middenkootje dat in een hoek uitsteekt). De vinger kan ook wat korter lijken als de botstukken over elkaar zijn geschoven.
- Geluid of gevoel bij breken: sommigen horen een duidelijke krak op het moment van breken. Nadien kan je bij beweging een rasperig gevoel of zacht geknisper (crepiteren) gewaarworden als de botstukjes langs elkaar bewegen.
Het onderscheid tussen een vingerbreuk en een zware kneuzing is niet altijd eenvoudig op het blote oog. Bij twijfel is het daarom belangrijk medisch onderzoek te laten doen, zeker als de pijn en zwelling na enkele dagen niet verbeteren.
Hoe stelt de arts de diagnose?
Bij vermoeden van een gebroken vinger zal de arts het volgende uitvoeren:
- Anamnese of vraaggesprek: De arts vraagt naar het traumamechanisme (hoe heb je je vinger bezeerd?) en naar de klachten. Belangrijk is of je nog hebt kunnen bewegen na het letsel, of de vinger meteen dik werd en of er gevoelloosheid is. Ook eerdere letsels of breuken aan die vinger worden besproken.
- Klinisch onderzoek: De hand en vingers worden geïnspecteerd. De arts kijkt naar zwelling, verkleuring en stand van de vingerbreuk. Elk vingerkoot wordt voorzichtig bevoeld op drukpijn en om te bepalen waar de breuk vermoedelijk zit. Ook controleert hij of de vinger nog gestrekt en gebogen kan worden (passief bewegen om te testen) en of de buig- en strekpezen intact lijken. Soms wordt de vinger vergeleken met de tegenovergestelde hand om verschillen in stand op te merken.
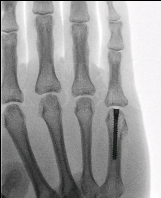
- Röntgenonderzoek: Om de diagnose te bevestigen, wordt een röntgenfoto (RX) van de hand of vinger gemaakt. Op de foto is te zien welk vingerkootje gebroken is en of de delen verplaatst zijn. Aan de hand van de RX wordt beoordeeld of de breuk stabiel is. Een stabiele vingerfractuur betekent dat de botstukken niet of nauwelijks verschoven zijn; een instabiele fractuur betekent dat het bot misstaat of kan verschuiven bij beweging. Bij meervoudige breuken of onduidelijke breuklijnen kan eventueel een CT-scan extra informatie geven, maar dit is zelden nodig.
Wanneer naar een volgende stap?
Behandeling
De behandeling van een vingerbreuk is gericht op het rechtzetten van het bot en het immobiliseren zodat het goed geneest. Men volgt doorgaans deze stappen:
- Stap 1: Immobilisatie en eerste hulp: Zodra een vinger gebroken lijkt, is het belangrijk deze zo stil mogelijk te houden. Verwijder ringen aan de hand (als dat nog kan) vanwege de opkomende zwelling. Koel de vinger met ijs (wikkel ijs in een doek en leg het 10-15 minuten op de vinger) om pijn en zwelling te verminderen. Houd de hand omhoog (op een kussen of mitella) om vochtophoping te beperken. Je kunt de pijnlijke vinger tijdelijk tegen een naastgelegen vinger tapen (buddy taping) voor steun. Bij zeer scheve stand probeer je de vinger zelf niet te corrigeren, maar laat je dit over aan een arts.
- Stap 2: Conservatieve behandeling (gips of spalk): Veel vingerbreuken kunnen zonder operatie worden behandeld. Als de botstukken goed op lijn staan en de breuk stabiel is, krijgt de vinger rust in een spalk of gips. Vaak wordt de gebroken vinger samen met de naastgelegen vinger in één spalk vastgezet (de gezonde vinger dient als natuurlijke spalk). Dit duurt meestal 3 tot 4 weken, waarin de botgenezing op gang komt. Is de breuk licht verplaatst, dan kan de arts eerst een repositie doen: onder plaatselijke verdoving wordt aan de vinger getrokken en geduwd tot de fragmenten op hun plek zitten. Vervolgens wordt een gipsverband of aluminium vingerspalk aangelegd die het betreffende kootje en vaak ook het gewricht erboven en eronder immobiliseert. Wekelijks kan de arts de stand controleren met een nieuwe foto. Zolang de stand goed blijft en de breuk geneest, is geen verdere ingreep noodzakelijk.
- Stap 3: Operatie: Als een vingerbreuk niet goed uitgelijnd kan worden of als het een open breuk betreft, is een operatie aangewezen. Ook bij een gewrichtsbreuk (fractuur die door een gewricht loopt) zal men laagdrempelig opereren om het gewricht zo egaal mogelijk te herstellen en latere artrose te voorkomen. Tijdens de operatie zet de chirurg de botstukken in de juiste positie en bevestigt ze met metalen pinnen, schroefjes of mini-plaatjes. Voor fracturen in het topje van de vinger (nagelkootje) gebruikt men vaak dunne pennetjes die gedurende enkele weken door de huid steken. Voor midden- of grondkootjes (middenste en onderste vingerbotjes) kan een plaatje met schroefjes nodig zijn bij complexe fracturen. Na de ingreep wordt de vinger ingespalkt. Later begint men voorzichtig met bewegingsoefeningen onder begeleiding (om te voorkomen dat de geopereerde vinger vast komt te zitten).


Prognose
Een vingerbreuk heeft over het algemeen een goede prognose, mits de vinger in de juiste stand geneest. Botgenezing duurt circa 4-6 weken, afhankelijk van welk kootje gebroken is. Na het verwijderen van spalk of gips is de vinger vaak stijf, vooral bij breuken nabij een gewricht. Met oefentherapie (oefeningen en eventueel hulp van een handfysiotherapeut) herwint men meestal de beweeglijkheid in de weken daarop. Binnen ongeveer 3 maanden na de breuk kunnen de meeste mensen hun hand en vinger weer bijna normaal gebruiken in het dagelijks leven.
Bij ingewikkelde breuken, bijvoorbeeld met gewrichtsbeschadiging of verbrijzeling, kan de vinger minder soepel blijven of niet volledig strekken/buigen. Ook kan in zo’n geval na verloop van tijd gewrichtsslijtage (artrose) ontstaan. Echter, bij een eenvoudige vingerbreuk die goed behandeld en gerevalideerd wordt, is de kans op blijvende klachten klein.
Conclusie
Een vingerbreuk is een veelvoorkomend letsel waarbij een vingerkootje gebroken is. Het ontstaat vaak door een botsing, val of beknelling. De klachten – pijn, zwelling en eventueel een scheve stand van de vinger – treden direct op. Een tijdige diagnose met een röntgenfoto is belangrijk om het onderscheid te maken tussen een gekneusde vinger en een fractuur. In de meeste gevallen kan een vingerbreuk worden behandeld met relatieve immobilisatie (buddy tape) zodat het bot spontaan geneest in enkele weken. Als de breuk niet mooi recht staat of het gewricht erbij betrokken is, kan een operatieve ingreep nodig zijn om de vinger correct te herstellen. Dankzij adequate behandeling en revalidatie krijgen de meeste mensen hun vingerfunctie weer volledig terug, en zal de vingerbreuk geen blijvende hinder opleveren in het dagelijkse leven.
Maak een afspraak
Online
Het is mogelijk om je afspraak online vast te leggen via onderstaande link.
Telefonisch
Maak je je afspraak liever telefonisch? Dan kan je terecht bij ons secretariaat:
Maak een afspraak
Maak je je afspraak liever telefonisch? Dan kan je terecht bij ons secretariaat:



.png)