Traumatologie
Gebroken bovenarm (humerusfractuur)
Een humerusfractuur is een botbreuk van de bovenarm. Lees meer over de symptomen, diagnose en behandeling van een gebroken bovenarm.
Inhoud
Gebroken bovenarm (humerusfractuur)
Wat is het?
Bij wie komt het voor?
Wat zijn de symptomen?
Hoe stelt de arts de diagnose?
Wanneer naar een volgende stap?
Behandeling
Prognose
Conclusie
Wat is het?
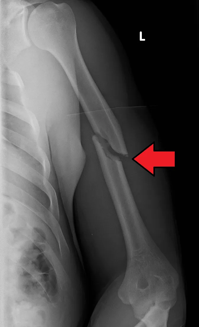
Een gebroken bovernarm (humerusfractuur) is een botbreuk van het bovenarmbot (humerus). Dit kan zich voordoen in het middelste deel van het bot (schacht) of dichter bij de schouder of elleboog. Een humerusfractuur ontstaat meestal door direct trauma (zoals een harde val of een verkeersongeval) of een krachtige draaibeweging van de arm (soms bij armworstelen). Soms breekt het bot op meerdere plaatsen of steekt een botpunt scherp onder de huid (open fractuur).

Bij wie komt het voor?
Een humerusfractuur kan bij iedereen overkomen, maar komt vooral voor bij:
- Jongeren: hoge-impact ongevallen (sportblessures, motor-/auto-ongelukken) veroorzaken dit letsel vaak bij jongeren.
- Ouderen (osteoporose): bij mensen met broze botten kan een relatieve kleine val al een gebroken bovenarm veroorzaken.
- Pathologische fracturen: zelden kan de bovenarm spontaan breken door verzwakking van het bot (bijvoorbeeld door een onderliggende bottumor).
Wat zijn de symptomen?
Kenmerkende klachten van een humerusfractuur zijn:
- Erge pijn in de bovenarm, direct na het letsel.
- Abnormale stand of beweging: de arm kan er vervormd uitzien, en soms voelt men dat de botstukken ongewoon bewegen of kraken bij poging tot beweging.
- Zwelling en blauwe plek: de bovenarm zwelt op en er verschijnt in de dagen erna een flinke blauwe plek rondom de breukplaats.
- Bewegingsbeperking: het is niet mogelijk de arm normaal op te tillen of te gebruiken door de pijn en omdat het bot onderbroken is.
- Gevoelsuitval: bij sommige humerusfracturen raakt de nabijgelegen zenuw (nervus radialis) geïrriteerd of (tijdelijk) uitgeschakeld, waardoor een deel van de hand tintelt of slap aanvoelt (moeite om de pols/vingers te strekken).
Hoe stelt de arts de diagnose?
Bij vermoeden van een humerusfractuur zal de arts de arm onderzoeken:
Anamnese: De arts vraagt wat er is gebeurd (bijvoorbeeld een val) en naar de symptomen. Ook zal gevraagd worden of u nog gevoel en beweging hebt in de vingers, om te controleren of er geen zenuwschade is.
Klinisch onderzoek: de bovenarm wordt nagekeken op afwijkende stand, open wonden en blauwe plekken. De arts test ook of u de pols/hand kunt bewegen en voelen (controle van de zenuwfunctie).
Röntgenfoto: met een röntgenfoto van de bovenarm (inclusief schouder en elleboog) bevestigt men de breuk en bekijkt men de positie van de botstukken. Soms zijn opnamen in meerdere richtingen nodig om de breuk volledig te beoordelen.
Aanvullend onderzoek: als de breuk zeer complex is, kan aanvullend een CT-scan gemaakt worden om de gebroken bovenarm beter in beeld te brengen.
Wanneer naar een volgende stap?
Behandeling
Stap 1: Eerste opvang. Bij een vermoedelijke humerusfractuur wordt de arm gestabiliseerd (bijvoorbeeld met een mitella of een tijdelijk spalkverband) om pijn te verminderen. U krijgt pijnstilling. Probeer de arm niet zelf te bewegen.
Stap 2: Conservatieve behandeling. Vaak kan een gebroken bovenarm zonder operatie genezen. Als de botstukken netjes op één lijn staan en de breuk stabiel is, krijgt u meestal een speciaal bovenarmbrace (sarmiento brace) om de botdelen te ondersteunen. Deze brace houdt de botstukken in de juiste positie terwijl ze genezen. U draagt de brace ongeveer 6 tot 10 weken. Tijdens deze periode komt u regelmatig terug voor controle foto's om te kijken of de stand goed blijft. Ook kunt u eventueel een draagdoek gebruiken voor comfort. Gedurende het herstel van de humerusfractuur is het belangrijk vinger-, pols- en elleboog oefeningen te doen om stijfheid te voorkomen. Pijn neemt meestal geleidelijk af binnen enkele weken.
Stap 3: Operatie. Is de humerusfractuur instabiel (de botstukken staan ver uit elkaar of er zit spierweefsel tussen), betreft het een open fractuur, of indien de fractuur niet goed uitlijnt in de brace, dan is een operatie nodig. De chirurg brengt de botdelen tijdens de ingreep weer in positie en bevestigt ze met een metalen plaat en schroeven, of plaatst een nagel in het bot. Na de ingreep krijgt u een mitella en begint u al na een paar dagen voorzichtig met bewegingsoefeningen van de elleboog en schouder onder begeleiding. Een operatie wordt ook eerder overwogen bij patiënten met meerdere letsels (om de revalidatie te bespoedigen) of onderliggende zenuwuitval door de bovenarmbreuk.
Prognose
Een humerusfractuur groeit meestal binnen 8 tot 12 weken weer stevig aan elkaar. Bij conservatieve behandeling ontstaat vaak een flinke botknobbel (callus) rond de breukplaats, maar dat is normaal en duidt op genezing. De arm kan aanvankelijk stijf zijn, maar met oefentherapie herwint u geleidelijk de mobiliteit en kracht. Over het algemeen is de prognose goed: het bot geneest in >90% van de gevallen zonder blijvende problemen. Ervaringen van een gebroken bovenarm uit de praktijk wijzen uit dat de eerste weken na het letsel het pijnlijkst zijn, maar dat patiënten bij de juiste behandeling hun armfunctie doorgaans volledig terugkrijgen. Eventuele zenuwuitval (zoals een drop-hand door een nervus radialis letsel) herstelt gelukkig vaak spontaan binnen enkele maanden. Slechts in uitzonderlijke gevallen (wanneer de breuk niet wil vastgroeien, een non-union) is een tweede ingreep nodig om het bot alsnog te laten helen.
Conclusie
Een humerusfractuur of gebroken bovenarm is een breuk van het bovenarmbot die voor hevige pijn en functieverlies van de arm zorgt. De diagnose wordt bevestigd met röntgenfoto’s. In veel gevallen kan een humerusfractuur zonder operatie genezen met behulp van een sarmientobrace en rust. Bij complexe of instabiele breuken zorgt een operatie met plaat en schroeven of een nagel voor een stabiele fixatie van de botstukken. Met de juiste behandeling geneest een gebroken bovenarm meestal goed binnen enkele maanden, waarna de arm weer normaal gebruikt kan worden in het dagelijks leven.
Maak een afspraak
Online
Het is mogelijk om je afspraak online vast te leggen via onderstaande link.
Telefonisch
Maak je je afspraak liever telefonisch? Dan kan je terecht bij ons secretariaat:
Maak een afspraak
Maak je je afspraak liever telefonisch? Dan kan je terecht bij ons secretariaat:
