Traumatologie
Sleutelbeenfractuur
Een gebroken sleutelbeen veroorzaakt pijn en bewegingsverlies in de schouder. Lees over symptomen, diagnose, behandeling en herstel bij Orthopedie Turnhout.
Inhoud
Sleutelbeenfractuur
Wat is het?
Bij wie komt het voor?
Wat zijn de symptomen?
Hoe stelt de arts de diagnose?
Wanneer naar een volgende stap?
Behandeling
Prognose
Conclusie
Wat is het?
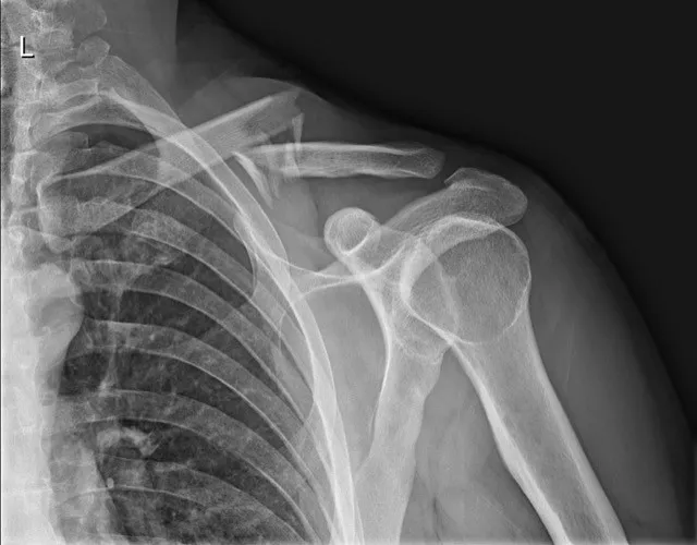
Een gebroken sleutelbeen is een breuk van het sleutelbeen – het bot dat de schouder met het borstbeen verbindt. Zo’n breuk ontstaat meestal door een harde val op de schouder of op een gestrekte arm, bijvoorbeeld bij fiets- of contactsportongevallen. Het sleutelbeen breekt vaak in het middelste gedeelte, maar de breuk kan ook dicht bij de schouder of bij het borstbeen optreden. Bij het ongeval hoort men soms een krakend geluid op het moment van breken. Medisch noemt men dit een claviculafractuur.
.webp)
Bij wie komt het voor?
Iedereen kan een gebroken sleutelbeen oplopen, maar bepaalde groepen hebben een groter risico:
- Jonge, actieve mensen: wielrenners, contactsporters en andere sporters lopen vaak sleutelbeenletsels op door vallen of botsingen op hoge snelheid.
- Kinderen: bij kinderen komt een gebroken sleutelbeen geregeld voor bij spel of sport. Kinderbotten kunnen deels breken als een twijgbreuk (greenstick) waarbij het botvlies intact blijft.
- Volwassenen bij een ongeluk: een zwaar verkeers- of sportongeval kan op alle leeftijden het sleutelbeen doen breken.
- Ouderen: ook op latere leeftijd kan een gebroken sleutelbeen ontstaan door een simpele val, zeker als de botkwaliteit verminderd is door osteoporose.
Wat zijn de symptomen?
Als een sleutelbeen gebroken is, treden symptomen meteen na het letsel op:
- Hevige schouderpijn: scherpe pijn aan de bovenkant van de schouder en rond het gebroken sleutelbeen. De pijn verergert bij beweging en vermindert wanneer de arm ondersteund wordt.
- Zichtbare bult of standafwijking: vaak steekt het gebroken bot omhoog, waardoor een duidelijke bult op het sleutelbeen zichtbaar is. Soms lijkt de schouder naar beneden te hangen (afhangende schouder).
- Zwelling en blauwe plek: de huid rond het sleutelbeen zwelt op en er verschijnt in de dagen nadien een blauwe plek (bloeduitstorting) op de breukplaats.
- Bewegingsbeperking: het is niet mogelijk de arm normaal te heffen of de schouder te bewegen door de pijn en de onderbreking in het bot.
- Krakend gevoel: bij het bewegen van de schouder kan men een krakend of schurend gevoel horen/voelen ter hoogte van het sleutelbeen (crepitaties).
- Gevoelloosheid: in zeldzame gevallen raakt een zenuw geprikkeld door het bot, wat leidt tot doofheid of tintelingen in de arm of hand. Dit komt weinig voor, maar vereist medische aandacht.
Hoe stelt de arts de diagnose?
De diagnose van een gebroken sleutelbeen wordt gesteld op basis van:
1. Anamnese: de arts vraagt naar het ongeval en de klachten en onderzoekt de schouder. Typische aanwijzingen zijn onmiddellijke schouderpijn en onvermogen de arm nog te gebruiken.
2. Klinisch onderzoek: de arts ziet vaak direct een afwijkende stand of een uitstekend botpunt bij het sleutelbeen. Hij voelt voorzichtig langs het sleutelbeen; dit is erg pijnlijk bij een breuk. Ook wordt nagegaan of de huid intact is en of er geen stoornissen zijn in de doorbloeding of zenuwfunctie van de arm.
3. Beeldvorming: een röntgenfoto van de schouderregio bevestigt de sleutelbeenbreuk en toont de exacte locatie en de verplaatsing van de botstukken. Soms wordt bij complexe sleutelbeenbreuken of twijfel nog een CT-scan gemaakt om de breuklijn gedetailleerder in kaart te brengen.
Wanneer naar een volgende stap?
Behandeling
De behandeling van een gebroken sleutelbeen hangt af van de ernst van de breuk, de mate van verplaatsing van de botdelen en het profiel van de patiënt.
Stap 1: Eerste hulp en pijnverlichting. Direct na het ongeval is het belangrijk de arm en schouder te ondersteunen om verdere pijn te voorkomen. Houd de arm tegen het lichaam en gebruik een doek of mitella als tijdelijke steun. Leg zo snel mogelijk ijs (in een doek gewikkeld) op de schouder om zwelling te beperken. Een arts of hulpverlener zal pijnstilling geven (bv. paracetamol of ibuprofen) voor comfort. Probeer de arm niet zelf te bewegen of het bot recht te duwen.
Stap 2: Conservatieve behandeling (zonder operatie). Bij de meeste gebroken sleutelbenen is geen operatie nodig. Als de botstukken goed in lijn staan (niet of minimaal verplaatst), krijgt u een draagdoek (mitella) om het sleutelbeen stabiel te houden. Deze immobilisatie duurt doorgaans 3 tot 4 weken. Tijdens deze periode moet u tillen en sport vermijden, maar het is belangrijk de elleboog, pols en vingers regelmatig te bewegen om stijfheid te voorkomen. Zodra de ergste pijn zakt, mag u geleidelijk beginnen met lichte onderhandse oefeningen voor de schouder (bijvoorbeeld pendeloefeningen) om verstijving te voorkomen. Goede pijnbestrijding blijft belangrijk gedurende het hele herstel. Na ongeveer 6 tot 8 weken is het bot meestal voldoende aan elkaar gegroeid en kan de draagdoek weg. Vervolgens wordt actief gewerkt aan het versterken en mobiliseren van de schouder.
Stap 3: Operatie (indien nodig). Een sleutelbeenoperatie wordt overwogen als de botstukken ver uit elkaar staan, bij een topsportwens of bij bepaalde complicaties. Bij een ernstig verplaatste clavicula fractuur, een open breuk (wanneer een botsplinter door de huid steekt) of wanneer belangrijke structuren (zenuwen of bloedvaten) bekneld dreigen te raken, is een operatie de beste optie. Ook als na 6 maanden de breuk nog niet genezen is (pseudoartrose) of bij bepaalde breuken aan de schouderkant van het sleutelbeen met gescheurde gewrichtsbanden kan chirurgie nodig zijn. De orthopedisch chirurg voert een sleutelbeen operatie uit onder narcose: de botdelen worden tijdens de ingreep in de correcte stand gezet en gefixeerd met een metalen plaat en schroeven. Na de ingreep krijgt u een mitella ter ondersteuning en start u binnen enkele dagen tot weken voorzichtig met bewegingsoefeningen van de schouder onder begeleiding van een kinesist.
.webp)
Prognose
Een gebroken sleutelbeen geneest vrijwel altijd goed. Het bot heelt in ongeveer 6 tot 8 weken, waarna normale dagelijkse bewegingen weer mogelijk zijn. Volledig herstel van kracht en functie kan enkele maanden duren, zeker als het schoudergewricht stijf was geraakt en moet worden gerevalideerd. Bij jonge patiënten verloopt het herstel vaak sneller dan bij ouderen. Tijdens het herstel van het gebroken sleutelbeen vormt zich een benige knobbel (callus) op de breukplaats; deze verdikking is blijvend voelbaar maar meestal cosmetisch en functioneel acceptabel. In de meeste gevallen is de schouder na verloop van tijd weer even sterk en beweeglijk als voorheen. Slechts zelden geneest een gebroken sleutelbeen niet spontaan (non-union); in zo’n geval biedt een operatie alsnog een oplossing om het bot vast te laten groeien. Ook een lichte verkorting of standafwijking van het sleutelbeen na genezing heeft meestal weinig invloed op de schouderfunctie.
Conclusie
Een gebroken sleutelbeen (claviculafractuur) is een veelvoorkomende botbreuk die vaak ontstaat door een val op de schouder. De klachten – pijn, zwelling en een zichtbare bult – maken duidelijk dat het sleutelbeen gebroken is en vereisen medische evaluatie. Vaak kan een sleutelbeenbreuk met rust (mitella), pijnstilling en tijd vanzelf genezen, en herstelt de schouderfunctie volledig. Wanneer nodig zorgt een sleutelbeenoperatie (plaat en schroeven) voor een correct herstel. Met de juiste behandeling en revalidatie is de prognose uitstekend: na enkele maanden functioneert de schouder doorgaans weer normaal in het dagelijks leven.
Maak een afspraak
Online
Het is mogelijk om je afspraak online vast te leggen via onderstaande link.
Telefonisch
Maak je je afspraak liever telefonisch? Dan kan je terecht bij ons secretariaat:
Maak een afspraak
Maak je je afspraak liever telefonisch? Dan kan je terecht bij ons secretariaat:

.png)

.png)