Hand & pols
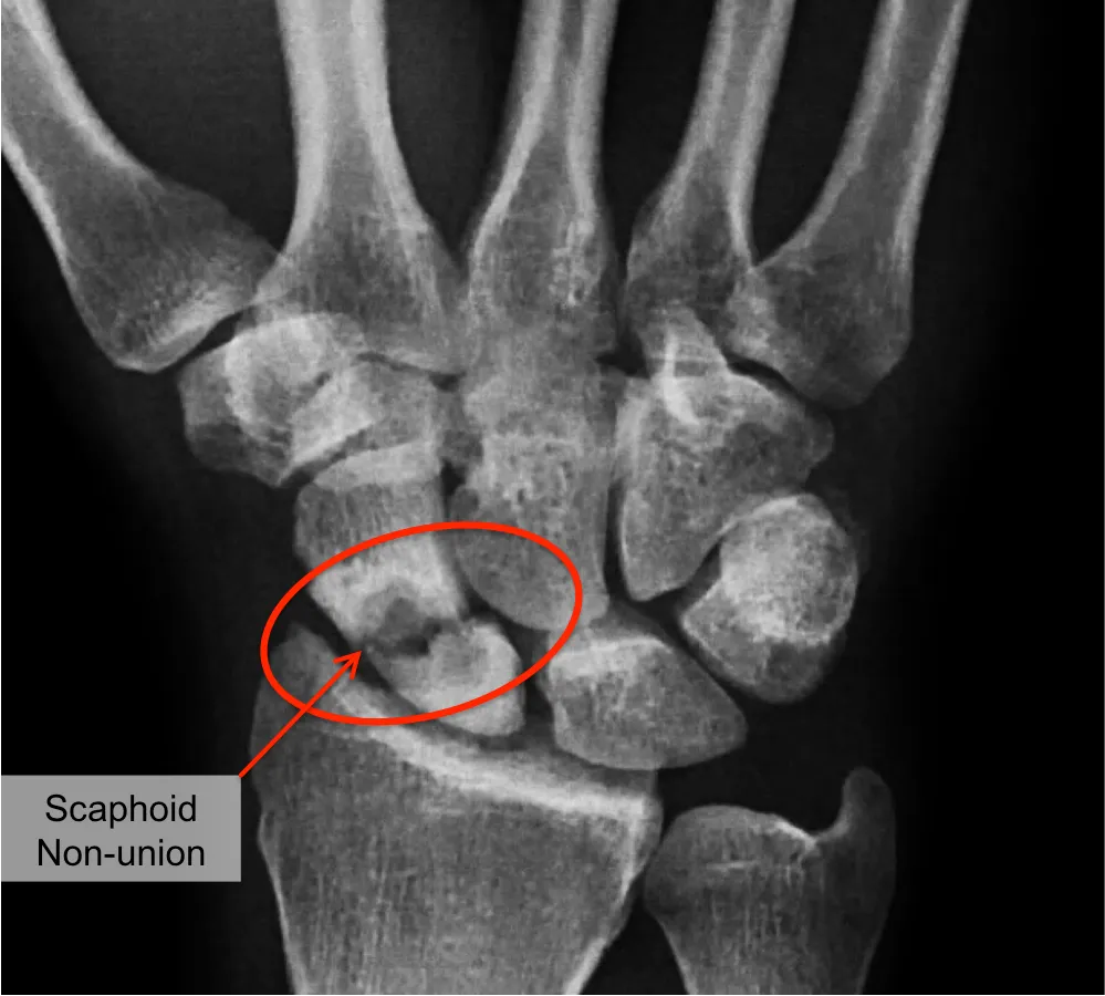
Scaphoid non-union
Een scaphoid non union is een polsbreuk van het scheepsvormig beentje die niet aan elkaar groeit.
Inhoud
Scaphoid non-union
Wat is het?
Bij wie komt het voor?
Wat zijn de symptomen?
Hoe stelt de arts de diagnose?
Wanneer naar een volgende stap?
Behandeling
Prognose
Conclusie
Wat is het?
Een scaphoid non-union betekent dat een gebroken scaphoid (ook wel scheepsvormig handwortelbeentje genoemd) niet is vastgegroeid. Het scaphoid is een klein botje aan de duimzijde van de pols dat vaak breekt bij een val op de hand. Normaal hoort zo’n breuk binnen 6-8 weken te genezen. Bij een scaphoid non-union gebeurt dit niet: de twee botstukken van het scaphoid groeien niet meer aan elkaar, waardoor een blijvende breuklijn (pseudartrose) in het bot ontstaat. Dit kan komen doordat de breuk gemist of onvoldoende behandeld werd, of door slechte doorbloeding van het gebroken deel (met name bij een breuk in het proximale deel, dichtst bij de onderarm, van het scaphoid is de bloedvoorziening beperkt). Het resultaat is een instabiel polsgewricht dat na verloop van tijd kan leiden tot slijtage (artrose) in de pols.

Bij wie komt het voor?
Een scaphoid non-union ontstaat meestal in de volgende situaties:
- Niet herkende scaphoidbreuk: Jongere mensen (vaak mannen tussen 20-40 jaar) die hard op hun hand vallen (bijvoorbeeld bij sport of een ongeluk) kunnen een scaphoid breken zonder dat het meteen wordt opgemerkt. Als zo’n breuk onopgemerkt blijft en niet in gips wordt gezet, kan hij niet genezen en ontstaat een non-union.
- Onvoldoende immobilisatie: Zelfs als de breuk wél is vastgesteld, geneest een scaphoid soms niet goed als de arm niet lang genoeg of niet stabiel genoeg geïmmobiliseerd werd. Bijvoorbeeld iemand die te vroeg de brace afdeed of bij wie de gipsperiode te kort was.
- Slechte doorbloeding: Bij sommige scaphoidfracturen, vooral aan de kant dicht bij de onderarm (proximale pool), is de bloedtoevoer naar het fragment minder goed. Dit deel van het bot krijgt onvoldoende voedingsstoffen om te genezen, wat kan leiden tot een scaphoid non-union ondanks adequate behandeling.
- Roken en gezondheid: Roken is een bekende risicofactor voor slechte botgenezing. Mensen die roken of bepaalde gezondheidsproblemen hebben (bv. ongecontroleerde diabetes) lopen meer kans dat een breuk niet wil helen, ook bij scaphoidfracturen.
Wat zijn de symptomen?
Een scaphoid non-union uit zich vaak door:
- Aanhoudende polspijn: Zelfs maanden na het oorspronkelijke letsel blijft er pijn in de pols, vooral aan de kant van de duim. De pijn is meestal zeurend in rust en scherp bij belasting (bijvoorbeeld op de hand steunen of iets zwaars tillen).
- Drukpijn in de pols: Een klassiek pijnpunt is gevoeligheid bij druk in de anatomische snuifdoos (de driehoekige indeuking aan de duimzijde van de pols). Dit is typisch voor problemen met het scaphoid. Bij een non-union blijft dat drukpijnpunt gevoelig lang na het ongeval.
- Zwelling of beperkt bewegen: Soms blijft de pols wat dik of wordt hij bij belasting telkens opnieuw dik. Bewegingen zoals de pols ver naar achter buigen (extensie) kunnen beperkt en pijnlijk zijn.
- Krakend/klikgevoel: Doordat het scaphoid gebroken blijft, kunnen de delen soms licht bewegen ten opzichte van elkaar. Je kunt dan bij bewegen een klein klikje voelen in de pols (niet bij iedereen merkbaar).
- Krachtverlies: Door pijn en instabiliteit in de pols lukt het minder goed om kracht te zetten. Iets stevig vastgrijpen of opendraaien gaat lastiger dan voorheen.
- Langdurig verloop: Een belangrijk alarmsignaal is de tijd: bij een normale polsverstuiking verdwijnt de pijn binnen enkele weken. Blijft de polspijn echter na 2-3 maanden nog aanwezig of komt deze steeds terug, dan is een scaphoid non union verdacht.
Hoe stelt de arts de diagnose?
Bij aanhoudende polsklachten na een eerder letsel zal de arts denken aan een scaphoid non-union. De volgende stappen worden genomen:
- Anamnese of vraaggesprek: De arts vraagt naar het oorspronkelijke trauma: hoe ben je gevallen en wanneer? Was er destijds een diagnose gesteld en hoe ben je behandeld? Ook vraagt hij naar je huidige klachten (pijnlocatie, duur van de klachten, beperkingen).
- Klinisch onderzoek: De pols wordt onderzocht. De arts drukt op de pijnlijke plek in de snuifdoos om te zien of dat pijnlijk is. Hij test de polsbewegingen en gripkracht; vaak is die verminderd door pijn. De combinatie van het ongevalsverhaal en de pijnlijke snuifdoos doet hem een niet-genezen scaphoid vermoeden.
- Beeldvorming:
- Röntgenfoto: Er worden gerichte foto’s van het scaphoid gemaakt (in meerdere posities). Hierop is doorgaans te zien dat de breuklijn nog aanwezig is en er geen nieuwe botbrug tussen de stukken is gevormd. Soms staan de delen van het scaphoid wat uit elkaar of onder een hoek.
- CT-scan: Een CT-scan is de gouden standaard om een scaphoid non union te beoordelen. Hiermee kan de mate van botgenezing precies worden bekeken, inclusief eventuele verharding van de fractuurvlakken (sclerose) en hoe ver de fragmenten uit elkaar staan of verschoven zijn.
- MRI-scan: Een MRI kan helpen om de doorbloeding van het scaphoid te controleren. De arts kijkt of het proximale fragment vitaal is of tekenen van avasculaire necrose (botversterf) vertoont. Dit is belangrijk voor de keuze van behandeling.
- Botscan: Wordt niet vaak meer gebruikt, maar kan aantonen of er nog botactiviteit is op de fractuurplek (deze licht dan op bij een botscan).

Wanneer naar een volgende stap?
Behandeling
Een scaphoid non-union vraagt meestal om een operatie, maar in enkele gevallen probeert men eerst een niet-operatieve weg:
- Stap 1: Conservatieve opties (beperkt toepasbaar).
- Immobilisatie opnieuw: In sommige vroege non-unions zonder verplaatsing (bijv. ontdekt binnen 3 maanden na letsel) kan men een nieuwe poging doen met gipsimmobilisatie. De pols wordt dan voor 3 maanden in gips gezet in de hoop dat alsnog botgenezing optreedt. De kans van slagen is echter beperkt, zeker als de doorbloeding van het fragment slecht is.
- Brace en pijnbestrijding: Als de pijn mild is en de patiënt geen zware belasting van de pols heeft, kan men kiezen voor een conservatieve aanpak: een polsbrace dragen bij zwaardere activiteiten en pijnstillers gebruiken bij behoefte. Dit geneest de non union niet, maar sommige mensen kunnen ermee leven als de klachten gering zijn. (Dit is eerder uitzondering dan regel.)
- Stap 2: Chirurgische behandeling (fixatie met bottransplantaat). In de meeste gevallen zal een operatie nodig zijn om de scaphoid non-union alsnog te laten vastgroeien:
- Open repositie en interne fixatie: De chirurg maakt een insnede bij de pols en legt het scaphoid bloot. De oude breukvlakken worden opgefrist: hij schraapt de uiteinden aan zodat er weer vers, bloederig bot ontstaat.
- Bottransplantaat (bone graft): Om de opening tussen de twee stukken scaphoid op te vullen en genezing te stimuleren, plaatst de chirurg vers botmateriaal tussen de delen. Dit bot wordt meestal elders uit je eigen lichaam gehaald, bijvoorbeeld uit de rand van het spaakbeen of uit het bekken. Soms gebruikt men een gevasculariseerd bottransplantaat: een stukje bot met een eigen bloedvat eraan, om de doorbloeding te verbeteren, vooral als het proximale deel (dichtst bij de onderam) van het scaphoid dood (necrotisch) is.
- Schroeffixatie: Nadat het bottransplantaat is geplaatst, brengt de chirurg een metalen schroef aan dwars door het scaphoid zodat de twee fragmenten stevig tegen elkaar gedrukt blijven. Vaak gebruikt men een speciale schroef die volledig in het bot verzinkt. Deze fixatie zorgt voor stabiliteit tijdens de genezing. Soms worden één of twee pinnen gebruikt in plaats van een schroef, afhankelijk van de situatie.Het inbrengen van botgreffes en schroeffixatie wordt tegenwoordig meer en meer via kijkoperatie uitgevoerd zodanig dat de bloedvoorziening van het scaphoid minder beschadigd wordt en de kans op genezing vergroot met minder verstijving nadien.
- Immobilisatie en nazorg: Na de ingreep wordt de pols gehecht en krijg je een onderarmgips of spalk die 6 tot 12 weken moet blijven. Dit geeft het bot de gelegenheid te genezen. Na ongeveer 6-8 weken worden controlefoto’s of een CT gemaakt om te kijken of er botaanbrugging is. Wanneer de arts tekenen van genezing ziet, mag de immobilisatie eraf en start geleidelijke polsrevalidatie met een handtherapeut.

- Stap 3: Salvage-procedures (bij artrose of uitblijvende genezing). Indien de scaphoid non-union al geleid heeft tot ernstige polsartrose (SNAC – Scaphoid Nonunion Advanced Collapse) of als ondanks operaties geen botgenezing wordt bereikt, zijn er enkele laatste opties:
- Vier-hoekartrodese (4-corner fusion): Hierbij wordt het scaphoidbot volledig verwijderd en fuseert de chirurg vier omliggende handwortelbeentjes (lunate, triquetrum, capitatum, hamatum) tot één geheel. Dit stabiliseert de pols en neemt pijn weg, maar de pols kan daarna nog maar beperkt bewegen.
- Proximale rij carpectomie: Hierbij verwijdert men de gehele proximale rij handwortelbeentjes (scaphoid, lunatum en triquetrum). De rest van de pols (de distale rij) articuleert dan direct met het spaakbeen. Dit behoudt iets meer beweging dan een 4-corner arthrodese, maar geeft iets minder stabiliteit en kracht. Toch kan het voor veel patiënten een goede pijnvrije oplossing zijn.
- Totale polsfusie: Als de pols door artrose volledig versleten is en elke beweging pijnlijk, kan men kiezen om de hele pols vast te zetten (alle handwortelbeentjes verbinden met elkaar en met het spaakbeen). Dit is een laatste redmiddel en betekent verlies van polsbeweging, maar wel een nagenoeg pijnvrije en sterke hand.
Prognose
Een scaphoid non-union vroegtijdig behandelen geeft de beste vooruitzichten. Bij een tijdige operatie met bottransplantaat en schroeffixatie is de kans op definitieve genezing van het scaphoid hoog (rond 80-90%, afhankelijk van bloedvoorziening en omstandigheden). Patiënten kunnen daarna vaak hun pols weer grotendeels pijnvrij gebruiken, al blijft de beweeglijkheid soms iets beperkt. Bij langdurig bestaande non-unions die pas na jaren ontdekt of behandeld worden, is de kans groter dat er al polsartrose is opgetreden. In die gevallen richt de behandeling zich meer op pijnvermindering dan op volledige genezing van het bot. Een salvage-operatie zoals een 4-corner arthrodese of proximale rij carpectomie kan dan een stabiele, pijnvrije pols geven, zij het met minder bewegingsvrijheid. Algemeen geldt: hoe eerder een scaphoidbreuk adequaat behandeld wordt (liefst binnen enkele weken), hoe kleiner de kans op een non-union en de daaruit voortvloeiende problemen. Voor de genezing van een scaphoid non-union is de medewerking van de patiënt cruciaal: het zorgvuldig dragen van gips/brace, het vermijden van roken en het trouw volgen van revalidatie-instructies verhogen de kans op succes aanzienlijk.
Conclusie
Een scaphoid non-union is een niet-genezen breuk van het scaphoid (het scheepsvormige handwortelbeentje aan de duimzijde van de pols). Het veroorzaakt aanhoudende pijn en kan leiden tot instabiliteit en slijtage in de pols. Gelukkig zijn er effectieve behandelingen: met een operatie waarbij een bottransplantaat en schroef worden gebruikt, kan men in veel gevallen het scaphoid alsnog laten vastgroeien en de polsfunctie voor een groot deel herstellen. Belangrijk is om bij langdurige polspijn na een val altijd verder onderzoek te laten doen – een tijdig herkende scaphoidbreuk kan in gips genezen en zo een scaphoid non-union voorkomen. Zelfs als het bot niet vanzelf geneest, biedt de moderne handchirurgie oplossingen om de pols weer zo pijnvrij en functioneel mogelijk te maken.
Maak een afspraak
Online
Het is mogelijk om je afspraak online vast te leggen via onderstaande link.
Telefonisch
Maak je je afspraak liever telefonisch? Dan kan je terecht bij ons secretariaat:
Maak een afspraak
Maak je je afspraak liever telefonisch? Dan kan je terecht bij ons secretariaat:
Veel gestelde vragen
Hoe herken je een scaphoid non-union?
Als de polspijn na een val of vermeende verstuiking langer dan twee tot drie maanden blijft, kan een scaphoid non-union de oorzaak zijn. De pijn zit aan de duimzijde, met drukpijn in de anatomische snuifdoos en pijn bij steunen op de pols. Vaak verlies je knijpkracht en kan een licht klikkend gevoel optreden. Bij twijfel is gerichte beeldvorming aangewezen.
Hoe wordt een scaphoid non-union behandeld?
De meeste scaphoid non-unions vragen een operatie. De chirurg frist de breukvlakken op, plaatst een bottransplantaat tussen de fragmenten en zet die vast met een schroef of pin, soms via kijkoperatie. Bij beperkte vroege non-unions kan een nieuwe gipsperiode soms volstaan. Bij gevorderde slijtage volgen salvageprocedures zoals een vier-hoekartrodese of proximale rij carpectomie.
Hoe lang duurt het herstel na een scaphoid non-union operatie?
Na een scaphoid non-union operatie volgt een onderarmgips of spalk gedurende 6 tot 12 weken om botgenezing toe te laten. Een controle-CT na 6 tot 8 weken bevestigt of het bot voldoende geheeld is. Daarna start handtherapie om beweging en kracht op te bouwen, met een totale revalidatie van 4 tot 6 maanden voor pijnvrij en functioneel polsgebruik.
Wanneer kan ik na de operatie weer sporten of werken?
Lichte bureauactiviteiten kunnen meestal hervatten zodra het gips weg is en de pols pijnvrij beweegt, doorgaans na 2 tot 3 maanden. Voor sporten zoals fietsen of lopen is wachten tot het bot stevig vergroeid is, doorgaans na 4 maanden. Contactsporten en zwaar manueel werk pas na volledige revalidatie en goedkeuring door de chirurg, vaak rond 6 maanden postoperatief.
Wat zijn de risicofactoren voor een scaphoid non-union?
De grootste risicofactor is een niet-herkende scaphoidbreuk na een val op de hand, vooral bij mannen tussen 20 en 40 jaar. Onvoldoende of te korte gipsimmobilisatie en een breuk dichtbij de onderarm met beperkte bloedvoorziening verhogen de kans op een non-union. Roken en bepaalde gezondheidsproblemen zoals diabetes belemmeren de botgenezing en zijn even goed bekende risicofactoren.
Welke arts behandelt een scaphoid non-union?
Een scaphoid non-union wordt opgevolgd door een orthopedist of handchirurg met ervaring in polschirurgie. Hij vraagt gerichte beeldvorming aan, zoals CT en MRI, en bepaalt de beste aanpak afhankelijk van de bloedvoorziening en eventuele artrose. Bij Orthopedie Turnhout volgen onze handchirurgen het volledige traject op, inclusief botgreffe, schroeffixatie en revalidatie.



.png)