Traumatologie
Periprothetische heupfractuur (breuk heupprothese)
Een periprothetische heupfractuur is een botbreuk rond een heupprothese, meestal door een val. Lees meer over de symptomen, diagnose en behandeling.
Inhoud
Periprothetische heupfractuur (breuk heupprothese)
Wat is het?
Bij wie komt het voor?
Wat zijn de symptomen?
Hoe stelt de arts de diagnose?
Wanneer naar een volgende stap?
Behandeling
Prognose
Conclusie
Wat is het?
Een periprothetische heupfractuur is een breuk van het bot rondom een bestaande heupprothese. Met andere woorden: iemand die een kunstheup (totale heupprothese) heeft, loopt bij een trauma het risico dat het dijbeen vlak naast of onder de prothese breekt. Meestal betreft het het dijbeen (femur) net onder de steel van de heupprothese. Dit type fractuur is een complicatie die kan optreden nadat men eerder een heupprothese-operatie heeft ondergaan, bijvoorbeeld jaren later bij een val op het geopereerde been. De heupprothese zelf is van metaal en breekt niet, maar het omliggende bot kan breken. Periprothetische fracturen zijn relatief zeldzaam, maar komen vaker voor nu er meer mensen met een heupprothese leven. Het is een ernstig probleem, want naast de botbreuk moet men rekening houden met de aanwezigheid van het implantaat (dat los kan komen).

Bij wie komt het voor?
Periprothetische heupfracturen komen voor bij patiënten die al een totale heupprothese hebben, doorgaans:
- Oudere patiënten: De gemiddelde patiënt met een dergelijke fractuur is ouder (meestal >70 jaar). Ze hebben vaak jaren geleden een heupprothese gekregen wegens artrose of een eerdere breuk. Door veroudering en osteoporose kan het bot rondom de prothese dunner en zwakker zijn, waardoor een val makkelijker tot een breuk leidt.
- Na een val of trauma: In de meeste gevallen ontstaat een breuk rond de heupprothese door een val op het geopereerde been of direct op de heup. Bijvoorbeeld struikelen en op de zijkant vallen, of een ongeval. Soms is de val zelf het gevolg van verminderde stabiliteit of kracht in dat been.
- Bij bestaande protheseproblemen: Factoren die de kans verhogen zijn een al gedeeltelijk loszittende prothese (waardoor het bot eromheen verzwakt is) of meerdere voorafgaande heupoperaties (waardoor littekenweefsel en zwakker bot kunnen ontstaan). Echter, ook met een goed gefixeerde prothese kan een harde val het bot ernaast doen breken.
- Osteoporose: Net als bij gewone heupbreuken speelt botontkalking een rol. Veel patiënten met een heupprothese zijn ouder en kunnen osteoporose hebben, wat bijdraagt aan het breukrisico.
- Vrouwen: Vrouwelijke patiënten lopen iets vaker risico, overeenkomstig met hun hogere aandeel onder heupprothese-dragers en de hogere prevalentie van osteoporose.
Wat zijn de symptomen?
Een periprothetische heupfractuur geeft symptomen vergelijkbaar met een gewone heupbreuk, met enkele bijzonderheden:
- Ernstige heup- of bovenbeen pijn: Na het trauma is er felle pijn rondom de heup en het bovenbeen. De pijn zit vaak iets lager dan bij een klassieke heupbreuk – namelijk ter hoogte van of net onder de prothese in het dijbeen.
- Onvermogen te belasten: De patiënt kan niet meer op het gebroken been staan.. Elke poging daartoe resulteert in instabiliteit en hevige pijn.
- Abnormale bewegingen of stand: Als het bot gebroken is, kan de heupprothese haar houvast verliezen. Het been kan afwijkend gepositioneerd zijn. Soms voelt men dat de prothese niet meer vastzit – bijvoorbeeld de heupkop beweegt vreemd of het been voelt losser aan dan normaal. Bij onderzoek kan het lijken alsof het been verkort is of ongewoon gedraaid.
- Zwelling en blauwe plek: Rondom de heup en bovenbeen kan zwelling optreden, en later kan een uitgebreide blauwe plek ontstaan door inwendig bloedverlies.
- Crepitaties: Wanneer de arts aan het been beweegt, kan een knarsend of schurend geluid gehoord worden ter hoogte van de breuk. Dit duidt op beweging tussen de botfragmenten en de prothese.
- Algemene tekenen: Door de pijn en eventuele bloedverlies kan de patiënt zweten, een snelle pols hebben en bleek zien. Bij grote breuken met veel bloedverlies (inwendige bloeding in het bovenbeen) kan zelfs shock ontstaan.
Hoe stelt de arts de diagnose?
Bij vermoeden van een breuk rond een kunstheup zal de arts:
1. Anamnese: vragen naar het ongeval of de beweging die de klachten veroorzaakte. Het is duidelijk relevant dat de patiënt een heupprothese heeft. De arts vraagt of die prothese voorheen goed functioneerde of al pijnlijk was (dat kan duiden op voorafgaande loslating). Ook wordt medische voorgeschiedenis nagegaan (wanneer is de prothese geplaatst, eventuele revisies, osteoporose-status, etc.).
2. Klinisch onderzoek: De arts onderzoekt het been. Er wordt gelet op standsafwijking en beenlengte. De heup en dij worden voorzichtig betast: is er een voelbare afwijking of instabiliteit laag in het dijbeen? Het litteken van de heupprothese wordt geïnspecteerd op zwelling of een eventuele wonde. Er wordt ook gekeken naar de neurovasculaire status: voelt de patiënt de voet normaal en is de doorbloeding in orde? Dit is belangrijk omdat verschoven botfragmenten in zeldzame gevallen een zenuw of bloedvat kunnen beschadigen. Gewoonlijk is dat niet het geval bij deze breuken, maar het moet uitgesloten worden.
3. Beeldvorming:
Een röntgenfoto van heup en dijbeen is de eerste stap. Hierop ziet de arts de positie van de heupprothese en de breuklijn in het bot. De foto toont of de fractuur boven, rond of onder de prothesesteel zit, en of de prothese nog vast lijkt te zitten of niet. Men let bijvoorbeeld op beweging van de prothesecomponenten of hoekstand van de prothese.
Vaak wordt een CT-scan gemaakt om de breukdetails beter te zien, vooral als de planning van de operatie daardoor verbetert. CT kan ook helpen inschatten of de prothese los zit (aanwezigheid van radiolucente zones rond de steel).
De bevindingen worden vaak gecategoriseerd volgens een indeling (zoals de Vancouver-classificatie) die de plaats van de breuk en de stabiliteit van de prothese beschrijft. Dit helpt in het bepalen van de behandeling.
Wanneer naar een volgende stap?
Behandeling
De behandeling van een periprothetische heupfractuur is vrijwel altijd chirurgisch, omdat het zonder operatie zeer moeilijk is om zowel bot te laten genezen als de prothese goed te houden. Het behandeldoel is enerzijds de breuk helen en anderzijds zorgen dat de heupprothese nadien weer stabiel functioneert.
Stap 1: Eerste opvang: Net als bij andere dijbeenbreuken krijgt de patiënt onmiddellijk pijnstilling en wordt het been gestabiliseerd. Vaak legt men een vacuüm spalk of een andere immobilisatie om het been tot aan de heup, zodat de gebroken delen niet verplaatsen. Indien nodig krijgt de patiënt een infuus voor vocht en eventueel bloedtransfusie (er kan flink bloedverlies zijn in het bovenbeen). Omdat dit meestal oudere patiënten betreft, worden hun vitale parameters (bloeddruk, pols) goed in de gaten gehouden. In deze fase wordt ook overleg gepleegd met het operatieteam om zo snel mogelijk een plan te maken.
Stap 2: Operatie
Het type operatie hangt af van het breukpatroon, vastzitten van de prothese en activiteitenniveau van de patiënt.
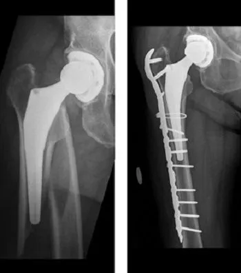
1. Fixatie van de breuk (osteosynthese): Als de bestaande heupprothese nog stevig vastzit in het bot, zal de chirurg proberen de botbreuk te herstellen zonder de prothese te vervangen. Dit gebeurt door middel van osteosynthese: het plaatsen van platen, schroeven en kabels rondom de prothese om de botfragmenten te fixeren. Bijvoorbeeld: bij een breuk net onder een goed gefixeerde heupprothese plaatst men vaak een sterke metalen plaat langs de buitenzijde van het dijbeen, die met meerdere schroeven boven en onder de breuk de botdelen overbrugt. Vaak worden ook cerclagedraden of kabels gebruikt om broze botstukken extra vast te klemmen. De prothese zelf blijft op zijn plaats. Deze techniek is minder ingrijpend dan een prothesewissel en behoudt het eigen implantaat. Belangrijk is dat de kwaliteit van het bot en de breukconfiguratie een stabiele fixatie toelaat.
2. Revisie van de heupprothese: Als de heupprothese losgeschoten of instabiel is door de fractuur, of als de breuk op zo’n manier zit dat fixatie niet volstaat, kiest men voor een revisieoperatie. Dit betekent dat (een deel van) de bestaande prothese wordt verwijderd en vervangen door een nieuw implantaat dat de breukzone overbrugt. Meestal zal de chirurg een nieuwe langere steel in het dijbeen plaatsen die voorbij de breuk reikt, zodat het bot weer van binnenuit gesteund wordt. Zelden is het nodig dat ook de heupkom-component vervangen wordt. Bij de meeste revisies wordt een langere heupprothese gebruikt en een plaat om de breuk te fixeren. Na een prothesewissel is het bot direct intern gesteund door de nieuwe prothese, maar de breuk moet nog steeds genezen rondom de prothesesteel.
3. Conservatieve behandeling: Het behandelen van een periprothetische heupfractuur zonder operatie is uiterst zeldzaam en alleen weggelegd voor situaties waarin chirurgie onmogelijk is (bijvoorbeeld bij een niet-operabele patiënt met zeer beperkte levensverwachting) of bij een heel kleine minder belangrijke barst.
Na de operatie, of het nu osteosynthese of revisie was, volgt een traject in het ziekenhuis. De patiënt krijgt pijnstilling en meestal een paar dagen bedrust om de acute pijn te laten zakken. Belasting van het been wordt doorgaans tijdelijk beperkt: bij platen en schroeven mag men vaak 6 tot 12 weken niet of slechts licht steunen om de breuk te laten genezen. Ondertussen start de fysiotherapie: oefeningen om het bed uit te komen (met loophulpmiddelen), het onderhouden van spierkracht in de armen en het gezonde been, en zodra toegestaan voorzichtig staan met steunen. Thuis of in een revalidatiecentrum zet dit herstel zich voort.
Prognose
Een periprothetische heupfractuur is een ernstig letsel, en de prognose hangt sterk af van de algemene toestand van de patiënt en het succes van de operatie:
- Genezing van de breuk: Bij succesvolle fixatie of revisie zal de botbreuk in de meeste gevallen genezen binnen enkele maanden, vergelijkbaar met andere dijbeenbreuken. Echter, omdat het hier vaak oudere patiënten betreft met mogelijk vertraagde botgenezing (door leeftijd of osteoporose), kan de fractuurheling iets langer duren. Er is een klein risico dat de breuk niet goed vastgroeit (non-union), vooral als de botkwaliteit slecht is of als er infectie optreedt.
- Herwinnen van mobiliteit: Veel patiënten kunnen na verloop van tijd weer mobiliseren tot op het niveau van voor de breuk, mits de operatie goed verloopt. Als de heupprothese behouden bleef en de breuk geneest, zou de functie van de kunstheup weinig veranderd moeten zijn na herstel. Bij patiënten die een revisieprothese kregen, is het herstel vergelijkbaar met dat na een eerste heupprothese, maar vaak complexer door de breuk. Ze kunnen meestal weer stappen, maar mogelijk iets minder vlot of met meer hulpmiddelen. Over het algemeen is het doel dat de patiënt weer zelfstandig kan zitten, staan en kleine afstanden lopen. Langere wandelingen of zware fysieke activiteiten kunnen beperkt blijven, afhankelijk van de leeftijd en conditie.
- Revalidatieperiode: De revalidatie is vaak langdurig. Oudere patiënten moeten soms naar een gespecialiseerd revalidatiecentrum of tijdelijk naar een verzorgingstehuis om te herstellen. Er wordt gewerkt aan spierkracht, evenwicht en vertrouwen in het been. Het knie- en heupgewricht moeten vaak opnieuw soepel gemaakt worden na weken van beperkte mobiliteit.
- Complicaties: Het risico op complicaties is aanwezig. Infectie is een belangrijke bezorgdheid, zeker als er veel metaal is ingebracht of een prothese-wissel is gebeurd. Een geïnfecteerde prothese kan leiden tot langdurige antibioticabehandeling of zelfs heroperaties. Ook trombose/longembolie is een risico door immobilisatie, dus preventieve bloedverdunning is essentieel. Verder kan de nieuwe of behouden prothese uit de kom schieten in de eerste maanden door spierzwakte. In enkele gevallen breekt het fixatiemateriaal of zakt de prothese in het bot weg als de belasting te vroeg of te zwaar was.
- Overlijden: Omdat dit letsel vaak bij erg kwetsbare ouderen voorkomt, is er een reëel risico op sterfte in de eerste maanden na het trauma, vergelijkbaar met gewone heupfracturen. Dit wordt meestal bepaald door bijkomende medische problemen en complicaties (bijvoorbeeld hartproblemen of infecties). Goede medische begeleiding tracht dit te voorkomen.
- Langetermijnuitkomst: Als de fractuur goed herstelt en de prothese stabiel blijft, is de langetermijnprognose redelijk: de meeste patiënten kunnen zitten, staan en met hulpmiddel lopen zonder hevige pijn. Toch rapporteert een deel blijvende milde pijn in het dijbeen of de heupregio, vooral bij langer wandelen – dit kan komen door het aanwezige metaal of veranderde belasting van het bot. Sommige patiënten zullen blijvend een stok of rollator gebruiken. De levenskwaliteit kan terugkeren naar acceptabel niveau, al zal men voorzichtig blijven met fysieke activiteiten.
Conclusie
Een periprothetische heupfractuur is een botbreuk rond een bestaande heupprothese, doorgaans veroorzaakt door een val bij oudere patiënten. Het gaat gepaard met heuppijn en het onvermogen om het been te belasten. Diagnostiek gebeurt via röntgen en CT om de breuk en prothese te beoordelen. De behandeling is bijna altijd chirurgisch: indien mogelijk wordt de breuk gefixeerd met platen en schroeven rondom de prothese, en als de prothese los zit of fixatie niet volstaat, wordt een revisieprothese geplaatst. Herstel vergt een langdurige revalidatie en de uitkomst is afhankelijk van de patiëntfactoren.
Maak een afspraak
Online
Het is mogelijk om je afspraak online vast te leggen via onderstaande link.
Telefonisch
Maak je je afspraak liever telefonisch? Dan kan je terecht bij ons secretariaat:
Maak een afspraak
Maak je je afspraak liever telefonisch? Dan kan je terecht bij ons secretariaat:
