Traumatologie
Bekkenbreuk
Een bekkenbreuk is een breuk van het bekken, vaak door een ongeval of val bij ouderen. Lees meer over de symptomen, diagnose, behandeling.
Inhoud
Bekkenbreuk
Wat is het?
Bij wie komt het voor?
Wat zijn de symptomen?
Hoe stelt de arts de diagnose?
Wanneer naar een volgende stap?
Behandeling
Prognose
Conclusie
Wat is het?
Een bekkenbreuk (ook bekkenfractuur genoemd) is een breuk van één of meerdere botten van het bekken. Het bekken bestaat uit het darmbeen (ilium), het zitbeen (ischium), het schaambeen (pubis) en het heiligbeen (sacrum). Een bekkenbreuk kan variëren van een eenvoudige breuk (bijvoorbeeld alleen een schaambeen of pubistakfractuur) tot een complexe breuk op meerdere plaatsen in de bekkenring. Meestal ontstaat een bekkenbreuk door ernstig trauma, zoals een verkeersongeval of een val van grote hoogte, vanwege de grote kracht die nodig is om het sterke bekkenbot te breken. Bij oudere mensen met brozer bot (osteoporose) kan echter een bekkenfractuur optreden door een relatief lichte val, bijvoorbeeld struikelen en op de heup vallen. Een bekkenbreuk is een ernstig letsel dat gepaard kan gaan met inwendige bloedingen en schade aan omliggende organen, zeker bij complexere breuken.

Bij wie komt het voor?
Een bekkenbreuk kan bij alle leeftijden voorkomen, maar er zijn duidelijke risicogroepen en situaties:
- Jongere personen (hoog energetisch trauma): Bij jongere mensen ontstaat een bekkenfractuur vrijwel altijd door een hoog energetisch ongeval, zoals een auto- of motor ongeluk of een val van hoogte. Vaak zijn er in dat geval ook andere letsels (polytrauma) aanwezig.
- Oudere personen (laag energetisch trauma): Ouderen kunnen een bekkenbreuk oplopen door een relatief banale val als zij osteoporose (botontkalking) hebben. Bijvoorbeeld een struikeling in huis kan leiden tot een bekkenbreuk bij iemand met broze botten.
- Osteoporose: Mensen met osteoporose hebben een verhoogd risico op een bekkenbreuk bij milde trauma’s. Bij hen is het bekkenbot minder sterk, waardoor een banale val al een breuk kan veroorzaken.
- Zware ongevallen: In scenario’s zoals verkeersongevallen of valpartijen van grote hoogte (bijvoorbeeld op een bouwplaats) lopen slachtoffers een verhoogd risico op complexe bekkenbreuken en andere levensbedreigende letsels.
- Sport en arbeid: Hoewel minder frequent, kunnen zeer harde impacts bij contactsporten of arbeidsongevallen ook tot een bekkenbreuk leiden.

Wat zijn de symptomen?
Een bekkenbreuk veroorzaakt zeer duidelijke klachten:
- Pijn: Heftige pijn in de bekkenregio – vaak gelokaliseerd in de lies, onderbuik, bilstreek of onderrug. De pijn verergert bij beweging of proberen te staan. De pijn is scherp en continu aanwezig.
- Bewegingsbeperking: De meeste patiënten kunnen na een bekkenbreuk niet meer staan of lopen door de pijn en de instabiliteit van het bekken. Pogingen om te bewegen roepen direct pijn op.
- Zwelling en blauwe plekken: Rond de heupen, liesstreek of stuit kan zwelling en een blauwe plek (hematoom) ontstaan. Soms is dit zichtbaar op de bil of in de lage buik. Bij inwendige bloedingen kan een uitgebreide blauwe verkleuring van de huid optreden na verloop van tijd.
- Stabiliteitsverlies: Bij instabiele bekkenbreuken kan het bekken abnormaal beweeglijk zijn. Dit is een levensbedreigende situatie.
- Shockverschijnselen: Omdat het bekken een rijk doorbloed gebied is, kan bij een ernstige bekkenbreuk intern veel bloed verloren gaan. Dit kan leiden tot tekenen van shock: een snelle hartslag, zweten, dalende bloeddruk, klamme huid en bewustzijnsverlies. Dit is een levensbedreigende situatie die vooral bij complexe bekkenfracturen kan voorkomen.
Hoe stelt de arts de diagnose?
De arts zal bij vermoeden van een bekkenbreuk snel handelen, omdat het een potentieel gevaarlijk letsel is. De diagnose steunt op:
1. Anamnese: De arts vraagt naar het ongevalmechanisme en de klachten. Belangrijke aanwijzingen zijn een zware impact (bv. auto-ongeval, hoge val) of bij oudere patiënten een val in huis met directe heuppijn. De patiënt kan vaak niet staan of stappen door de pijn. Ook vraagt de arts naar eerdere botontkalking (osteoporose) of bekkenoperaties.
2. Klinisch onderzoek: De arts inspecteert op pijnpunten en stabiliteit. Er wordt voorzichtig op het bekken gedrukt om te zien of dit pijn uitlokt. De arts controleert of er blauwe plekken of zwellingen zijn in de lies/bilregio. Belangrijk is ook te voelen of de benen even lang zijn en in normale stand liggen – bij ernstige bekkenfracturen kan een been soms korter of gedraaid staan. Verder worden neurologische functies in de benen getest en wordt gezocht naar tekenen van inwendig letsel (bijvoorbeeld bloed in de urine kan wijzen op blaas- of urineweg letsel door een bekkenbreuk).
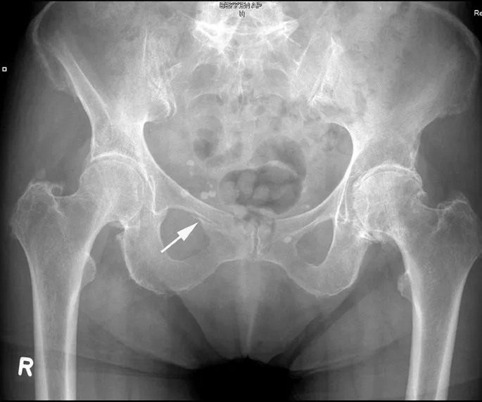
3.Beeldvorming: Bij vermoeden van een bekkenfractuur wordt direct beeldonderzoek ingezet. Een röntgenfoto van het bekken kan grote breuken aantonen. Vaak is aanvullend een CT-scan nodig om de breukdetails en verplaatsing goed in kaart te brengen. Een CT-scan toont welke delen van de bekkenring gebroken zijn en of de heupkom (acetabulum) betrokken is. Eventueel wordt, bij verdenking op bloedingen, ook een echografie (FAST-scan) of CT van de buik gedaan om inwendig bloedverlies te beoordelen. MRI is zelden nodig in de acute fase, behalve bij twijfel over kleine breukjes die op de CT niet duidelijk zijn.

Wanneer naar een volgende stap?
Behandeling
De behandeling van een bekkenbreuk hangt af van de ernst en het type breuk. Vaak wordt stapsgewijs gewerkt:
Stap 1: Eerste opvang en stabilisatie:
Een bekkenbreuk vereist acute medische zorg. In het ziekenhuis zal men eerst de vitale functies veiligstellen. Bij aankomst (meestal via de spoed) krijgt de patiënt pijnstilling en wordt het bekken gestabiliseerd, vaak met een speciale bekkenband die strak om de heupen wordt aangelegd om het bekken samen te drukken. Dit vermindert inwendige bloeding en pijn. Indien nodig krijgt de patiënt een infuus voor vocht en eventueel bloedtransfusie bij veel bloedverlies. Bij zware ongevallen gebeurt de opvang volgens het ATLS-protocol (advanced trauma life support) om ook andere letsels direct mee te behandelen (hoofd, borstkas, buik, ledematen). Soms plaatst de traumachirurg in deze fase al een externe fixateur (een uitwendig frame met pinnen in de bekkenbotten) om een instabiel bekken tijdelijk vast te zetten. Dit wordt gedaan als de breuk zeer instabiel is en er ernstige inwendige bloedingen zijn, zodat het bekken als noodmaatregel wordt ‘ingeklemd’ in afwachting van definitieve chirurgie.
Stap 2: Conservatieve behandeling (zonder operatie):
Stabiele bekkenbreuken – bijvoorbeeld als alleen de voorzijde van de bekkenring gebroken is (een breuk van het schaambeen of zitbeen, pubistakfractuur) terwijl de achterkant intact is – kunnen vaak zonder operatie genezen. In dit geval mag de patiënt mobiliseren “op geleide van pijn”. Dit betekent dat de patiënt voorzichtig mag bewegen of met hulp mag stappen als de pijn het toelaat. Meestal moet het volledig belasten van één van de benen de eerste weken vermeden worden. De pijn neemt doorgaans binnen enkele weken af naarmate de breuk stabiliseert. Een fysiotherapeut begeleidt de patiënt bij het opnieuw leren lopen en het voorkomen van spierzwakte. Bij oudere patiënten met een laag-energetische bekkenbreuk (bijvoorbeeld een schaambeenbreuk) zal men vaak conservatief behandelen: pijnstilling, kortdurend rust en vervolgens mobiliseren met loophulpmiddel zolang de pijn aanwezig is.
Stap 3: Operatie (bij instabiele of complexe breuken):Instabiele bekkenfracturen (waarbij de bekkenring zowel voor als achter gebroken is) en heupkomfracturen vereisen meestal een operatie. De traumachirurg bepaalt aan de hand van de breuksoort welke ingreep nodig is. Vaak wordt een bekkenbreuk na enkele dagen geopereerd, wanneer de conditie stabiel is en de weke delen minder gezwollen zijn. Tijdens de operatie worden de botstukken weer in de juiste positie gebracht en met platen en schroeven vastgezet (interne fixatie). Bij een bekkenringbreuk plaatst de chirurg meestal één of twee platen aan de voorzijde (ter hoogte van het schaambeen) en schroeven of platen achterin bij het heiligbeen om de ring te sluiten. Bij een heupkomfractuur (acetabulumfractuur) maakt men een opening langs de zijkant, voorkant en/of achterkant van de heup om de gebroken heupkom delen te herstellen en met schroeven/platen te fixeren. Soms wordt in eerste instantie een externe fixateur (tijdelijk) geplaatst en later de definitieve interne fixatie uitgevoerd (bijvoorbeeld als de patiënt eerst moet worden gestabiliseerd of als de huid zwaar gekneusd was). Na een operatie blijft de patiënt enkele dagen tot weken in het ziekenhuis. Er wordt vroeg gestart met lichte oefeningen voor benen en armen om de conditie te behouden. Afhankelijk van de instructies van de chirurg mag de patiënt beperkt gewicht zetten op de benen – bijvoorbeeld enkele weken niet of slechts 10-20 kg steun – om de genezing van de bekkenbreuk niet te verstoren. Revalidatie vindt plaats met kinesitherapie (fysiotherapie): oefenen van bedmobiliteit, vervolgens zitten, staan en geleidelijk leren lopen met hulpmiddelen.

Prognose
Een bekkenbreuk is een ernstig letsel, maar de prognose verschilt naargelang de complexiteit van de breuk:
- Eenvoudige, stabiele breuken: Bij relatief eenvoudige bekkenbreuken (bijvoorbeeld een geïsoleerde breuk van het schaambeen of pubistakfractuur) is de prognose goed. Deze breuken genezen meestal binnen 6–12 weken vanzelf. Pijn en mobiliteitsbeperking nemen geleidelijk af. De meeste patiënten kunnen na enkele weken tot maanden weer zonder hulpmiddel lopen. Restklachten zijn beperkt, al kan enige tijd milde pijn bij grotere inspanning aanwezig zijn.
- Complexe of instabiele breuken: Bij complexe bekkenbreuken is het herstel langduriger en bestaat er kans op blijvende gevolgen. Ondanks succesvolle chirurgie kan blijvende stijfheid of pijn in de heupen en onderrug optreden. Beschadiging van gewrichtsoppervlakken kan versneld artrose (slijtage) in heupgewricht of SI-gewricht veroorzaken. Ook zenuwletsel (bv. een zenuwuitval in een been) kan in ernstige gevallen voorkomen en kan leiden tot krachtsverlies of gevoelsverlies. Gelukkig komen deze complicaties niet vaak voor.
- Revalidatie en complicaties: Na een zware bekkenbreuk is een intensieve revalidatie nodig. Oudere patiënten hebben soms moeite hun zelfstandig loopvermogen volledig terug te krijgen en kunnen aangewezen blijven op een wandelstok of rollator. Complicaties zoals trombose, longontsteking of doorligwonden kunnen optreden door langdurige immobilisatie, daarom ligt de focus op vroege mobilisatie en goede preventieve maatregelen (bv. bloedverdunners tegen trombose). Bij operatieve behandeling is er een klein risico op wondinfectie of het loslaten van het fixatiemateriaal, zeker bij zeer complexe fracturen.
- Sterfte: Een bekkenbreuk op hoge leeftijd of in het kader van polytrauma kan in zeldzame gevallen levensbedreigend zijn door inwendig letsel of complicaties. Dankzij verbeterde traumaopvang en operatietechnieken is de overleving en uitkomst sterk verbeterd.
Conclusie
Een bekkenbreuk is een ernstig letsel van de bekkenring, vaak veroorzaakt door een zwaar ongeval of bij ouderen door een val bij osteoporose. Typische symptomen zijn hevige pijn en onmogelijkheid om nog te lopen. De diagnose wordt gesteld met beeldvorming (RX en CT) en de behandeling varieert van pijnstilling en rust tot operatief vastzetten, afhankelijk van de stabiliteit van de bekkenfractuur. Vroege herkenning en aangepaste behandeling zijn cruciaal, want bij instabiele bekkenfracturen kan inwendig bloedverlies levensbedreigend zijn. Met de juiste aanpak – eventueel inclusief specialistische chirurgie – kan een bekkenbreuk goed herstellen. De revalidatie vergt geduld en inzet: men start voorzichtig met mobilisatie om complicaties te voorkomen. Uiteindelijk kunnen veel patiënten hun gewone dagelijkse activiteiten hervatten. Bij eenvoudige bekkenbreuken is volledig herstel haalbaar, terwijl complexere breuken soms restklachten geven.
Maak een afspraak
Online
Het is mogelijk om je afspraak online vast te leggen via onderstaande link.
Telefonisch
Maak je je afspraak liever telefonisch? Dan kan je terecht bij ons secretariaat:
Maak een afspraak
Maak je je afspraak liever telefonisch? Dan kan je terecht bij ons secretariaat:
