Hand & pols
Kinderbreuken
Kinderbreuken helen vaak snel. Uitleg over greenstick en torus letsels, herkenning, onderzoek en behandeling.
Inhoud
Kinderbreuken
Wat is het?
Bij wie komt het voor?
Wat zijn de symptomen?
Hoe stelt de arts de diagnose?
Wanneer naar een volgende stap?
Behandeling
Prognose
Conclusie
Wat is het?
Kinderbreuken zijn botbreuken bij kinderen. Een kinderbot is nog in groei en buigzamer dan dat van een volwassene. Daardoor breken botten bij kinderen vaak op een andere manier. Twee typische kinderbreuken in de onderarm/pols zijn:
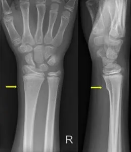
- Greenstick-fractuur (groenhoutbreuk): het bot is aan één zijde gebroken en aan de andere zijde alleen gebogen, net als een jong groen takje van een boom dat je breekt. Het bot blijft gedeeltelijk intact.
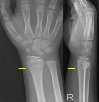
- Torusfractuur (twijgbreuk): hierbij is het bot niet echt gebroken, maar ingedeukt of geplooid, alsof het bot een deukje heeft opgelopen. Dit komt vaak voor aan het uiteinde van de onderarmbeentjes bij een val.
Omdat de botten van kinderen nog groeien, hebben ze ook groeischijven die betrokken kunnen zijn bij breuken. Kinderbreuken genezen doorgaans sneller en beter dan bij volwassenen, omdat het bot zich nog kan herstellen en vervormen tijdens de groei.


Bij wie komt het voor?
Kinderbreuken komen meestal in de leeftijd van 0 tot ongeveer 16 jaar voor (tot de botgroei voltooid is).
- Actieve kinderen en sporters: die rennen, klimmen en spelen, lopen geregeld polsbreuken op door vallen. Bijvoorbeeld van een klimrek vallen kan een greenstickfractuur in de pols geven.
- Kleuters en jongere schoolkinderen: twijgbreuken komen vaak voor bij de kleinsten als ze bijvoorbeeld omvallen met gestrekte arm.
- Adolescenten: naarmate kinderen ouder en sterker worden, gaan hun breuken meer lijken op die van volwassenen (completere fracturen). Maar tot de groei helemaal klaar is, zien we toch andere kenmerken en vaak sneller herstel.
Wat zijn de symptomen?
Een kinderbreuk in de hand of pols uit zich in:
- Pijn en huilen: het kind zal direct na een val veel pijn aangeven in de arm of pols en vaak niet meer willen gebruiken. Jonge kinderen kunnen dit alleen duidelijk maken door te huilen en de arm niet te bewegen.
- Zwelling en blauwe plek: rond de plek van de breuk ontstaat al snel een zwelling. Soms is er een blauwe plek zichtbaar.
- Standafwijking: bij een echte botbreuk kan de arm of pols er afwijkend uitzien (bijvoorbeeld krom of een knik). Bij een greenstickfractuur is de afwijking soms mild omdat het bot niet helemaal door is. Bij een torusfractuur is van buiten vaak nauwelijks iets te zien, behalve zwelling.
- Pijn bij beweging of druk: het kind zal aangeven dat het pijn doet als je de plek aanraakt of als het de pols probeert te bewegen.
- Gebruik vermijden: een klein kindje zal de aangedane hand/arm niet willen gebruiken (bijvoorbeeld een speelgoedje niet oppakken met die hand).
Hoe stelt de arts de diagnose?
Bij vermoeden van een breuk zal de arts:
- Anamnese of vraaggesprek: de arts bevraagt het ongevalsmechanisme en vraagt of er geen bijkomende letsels zijn.
- Klinisch onderzoek: de arm inspecteren op zwelling, stand en drukpijn. Bij kinderen is dit soms lastig omdat ze bang of huilerig zijn. De arts zal voorzichtig proberen te voelen en nagaan waar de meeste pijn zit.
- Röntgenfoto: dit is het belangrijkste onderzoek. Op de foto is doorgaans duidelijk te zien of er een breuk is en wat voor type. Bij kinderbreuken kijkt men goed naar afwijkingen in de contour van het bot: een buiging of kleine breuklijn kan al duiden op een greenstick of torusfractuur. Ook wordt gelet op de groeischijven om te zien of die vrij zijn van letsel.
- Verder onderzoek: meestal is een gewone röntgen voldoende. Alleen bij zeer complexe breuken, of als er mogelijk schade aan gewrichten is, wordt een aanvullende CT-scan gedaan. Een MRI-scan is zelden nodig bij acute kinderbreuken.
Wanneer naar een volgende stap?
Behandeling
De behandeling richt zich op het goed laten genezen van het bot, met behoud van functie en groei:
- Stap 1: Immobilisatie. Veruit de meeste kinderbreuken, inclusief greenstick- en torusfracturen, worden behandeld met gips of een spalk. Doordat het bot deels nog intact is (bij greenstick/twijgbreuk) en kinderen een relatieve standsafwijking kunnen uitgroeien, is vaak geen operatie nodig. De arts zet eventueel voorzichtig de stand recht (repositie) als er een hoek in zit, en legt vervolgens een gipsspalk of circulair gips aan om de arm rust te geven. Een torusfractuur van de pols heeft vaak maar 3-4 weken licht gips nodig.
- Stap 2: Controle en aanpassing. Na ongeveer een week wordt soms een controlefoto gemaakt om te zien of alles goed in positie blijft, vooral bij greenstickfracturen die recht zijn gezet. Omdat kinderbot snel heelt, kan een stand in die eerste week nog wat veranderen; indien nodig kan men het gips nog vervangen of de stand corrigeren.
- Stap 3: Verwijderen van het gips. Kinderbreuken helen sneller dan volwassen breuken. Na circa 3-4 weken is een simpele onderarmbreuk vaak genezen genoeg om het gips te verwijderen. De arts controleert of het kind de pols weer goed kan bewegen en of er geen pijn meer is.
- Stap 4: Nazorg en kinesitherapie. Meestal is uitgebreide revalidatie niet nodig; kinderen gebruiken hun arm vanzelf weer in het spel en pakken de functie snel op. Bij oudere kinderen of complexe breuken kan soms een beetje oefentherapie helpen om de pols weer soepel te krijgen na het gips.
Prognose
Kinderen hebben een groot vermogen tot herstel. Kinderbreuken genezen meestal vlot en zonder restklachten:
- Uitstekende botgenezing: bij een polsbreuk zal het bot vaak volledig herstellen. Zelfs als er een klein hoekje of standsafwijking overblijft, kan het groeiproces dit in de loop van maanden tot jaren grotendeels corrigeren (remodellering).
- Weinig blijvende schade: anders dan bij volwassenen zien we bij kinderen zelden blijvende stijfheid of pijn na een gebroken pols. Ze pakken activiteiten weer moeiteloos op.
- Groeischijf-letsel: een aandachtspunt is een breuk door de groeischijf. Als die beschadigd raakt, kan dat de groei van het bot beïnvloeden. Daarom volgt de arts dergelijke breuken langere tijd om te zien of de arm goed blijft groeien. In de meeste gevallen herstelt de groeischijf ook goed.
- Snelle hervatting: kinderen kunnen doorgaans na genezing weer volledig sporten en spelen. Het risico op een nieuwe breuk is aanvankelijk iets verhoogd (bot is nog dun op de plek van genezing), dus extreme belasting direct na het gips wordt soms afgeraden. Maar binnen enkele weken is ook dat risico minimaal.
Conclusie
Kinderbreuken, zoals de typische greenstick- en torusfracturen, zijn in de meeste gevallen eenvoudig te behandelen met gips en genezen uitstekend. Het groeiende kinderbot maakt dat zelfs “scheve” breuken vaak weer netjes recht groeien. Ouders en kinderen kunnen dus gerust zijn: hoewel een arm in het gips even lastig is, is de kans op volledig herstel van de polsfunctie erg groot.
Maak een afspraak
Online
Het is mogelijk om je afspraak online vast te leggen via onderstaande link.
Telefonisch
Maak je je afspraak liever telefonisch? Dan kan je terecht bij ons secretariaat:
Maak een afspraak
Maak je je afspraak liever telefonisch? Dan kan je terecht bij ons secretariaat:
Veel gestelde vragen
Hoe herken ik een kinderbreuk bij mijn kind?
Na een val of ongeval kan je kind plots veel pijn aangeven en de arm of pols niet meer willen gebruiken. Vaak ontstaat snel zwelling, soms een blauwe plek. Bij een echte breuk kan de arm er krom uitzien; bij een torusfractuur is van buitenaf nauwelijks iets zichtbaar behalve zwelling. Bij twijfel altijd een arts raadplegen.
Wat is het verschil tussen een greenstick- en een torusfractuur?
Bij een greenstick- of groenhoutfractuur is het bot aan één zijde gebroken en aan de andere zijde alleen gebogen, zoals een groen takje. Bij een torus- of twijgbreuk is het bot niet helemaal gebroken maar ingedeukt of geplooid. Beide breuken komen typisch voor bij vallen op de uitgestrekte arm en helen meestal vlot omdat het bot van een kind nog buigzaam is.
Wat gebeurt er bij het eerste bezoek aan de orthopedist?
De arts vraagt eerst hoe het ongeval gebeurde en bekijkt of er nog andere letsels zijn. Daarna onderzoekt hij voorzichtig de arm op zwelling en stand. Bijna altijd wordt een röntgenfoto gemaakt om het type breuk en de groeischijven te beoordelen. Een CT- of MRI-scan is zelden nodig, alleen bij complexe breuken of bij twijfel over een gewrichtsletsel.
Hoelang moet mijn kind een gips dragen?
Bij een eenvoudige torusfractuur van de pols volstaat doorgaans drie tot vier weken licht gips. Een greenstickfractuur vraagt soms iets langer, afhankelijk van leeftijd en lokalisatie. Na een week kan een controlefoto nodig zijn om te zien of de stand goed blijft. Omdat kinderbot snel heelt, kan het gips meestal sneller af dan bij een volwassene.
Moet mijn kind geopereerd worden bij een breuk?
Veruit de meeste kinderbreuken worden zonder operatie behandeld met gips of een spalk. Doordat het bot deels nog intact is en kinderen kleine standsafwijkingen kunnen uitgroeien, volstaat meestal een conservatieve aanpak. Soms wordt eerst voorzichtig de stand rechtgezet (repositie) onder verdoving. Alleen bij ernstige verplaatsing of breuken door de groeischijf is een operatie nodig.
Heeft een breuk gevolgen voor de groei van mijn kind?
In de meeste gevallen niet. Kinderbreuken genezen vlot en zelfs een lichte standsafwijking kan tijdens de groei vanzelf worden gecorrigeerd (remodellering). Wanneer de breuk de groeischijf raakt, volgt de arts dit langere tijd op om te controleren of de arm verder normaal blijft groeien. In de praktijk hervatten kinderen na enkele weken weer al hun activiteiten zonder restklachten.



.png)