Traumatologie
Patellafractuur (gebroken knieschijf)
Een gebroken knieschijf maakt strekken onmogelijk. Lees over operatie en revalidatie bij Orthopedie Turnhout.
Inhoud
Patellafractuur (gebroken knieschijf)
Wat is het?
Bij wie komt het voor?
Wat zijn de symptomen?
Hoe stelt de arts de diagnose?
Wanneer naar een volgende stap?
Behandeling
Prognose
Conclusie
Wat is het?
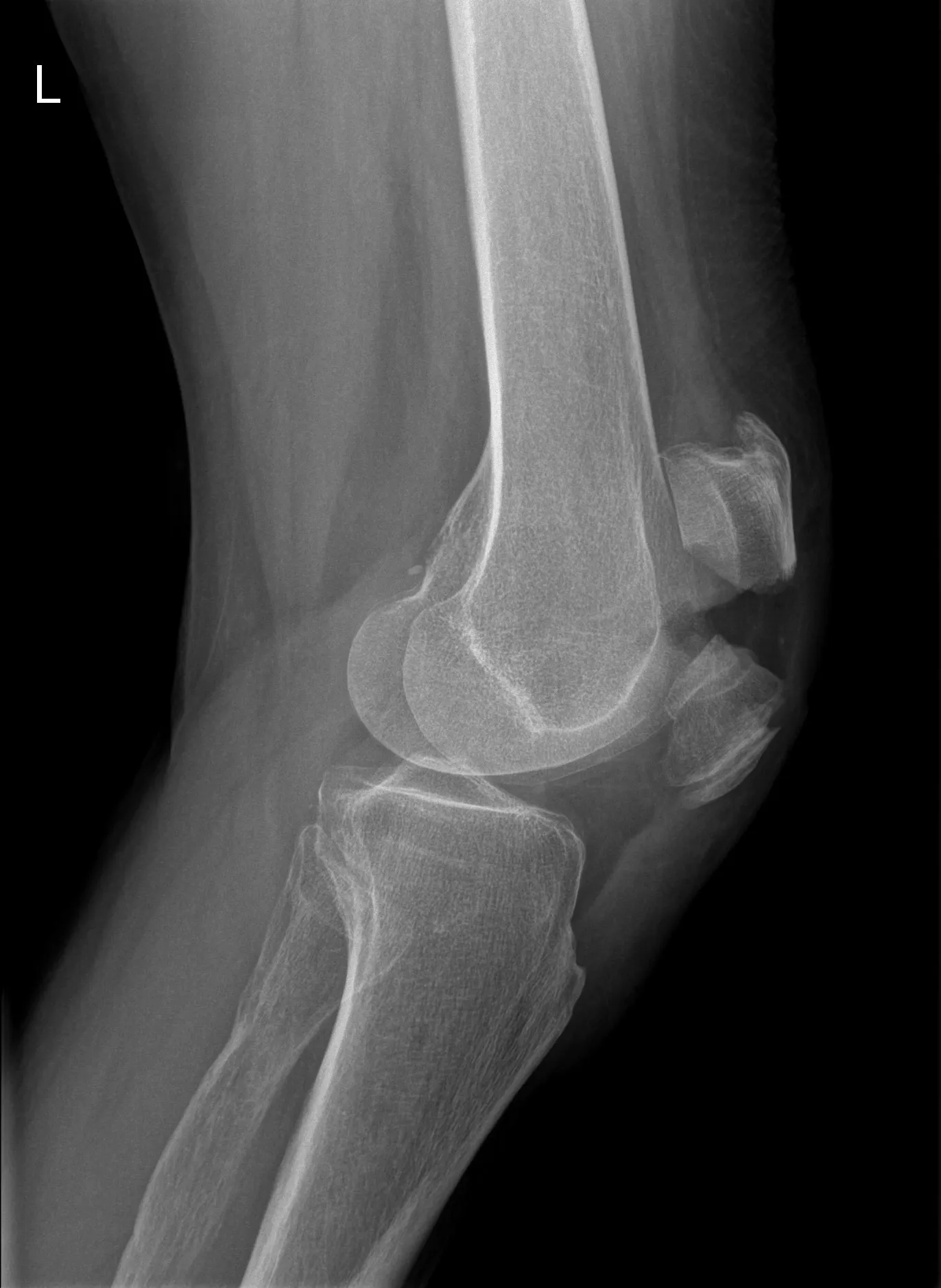
Een patellafractuur is een breuk van de knieschijf (patella). De patella is het ronde bot aan de voorkant van de knie, dat deel uitmaakt van het strekapparaat van de knie. Bij een patellafractuur is de knieschijf gebroken in één of meerdere delen. Vaak gaat het om een dwarse breuk, maar er kunnen ook meerdere fragmenten zijn (verbrijzelde knieschijf). Een gebroken knieschijf ontstaat meestal door een harde directe klap op de gebogen knie, bijvoorbeeld bij een val op de knie of een botsing. Doordat de patella essentieel is voor de kniestrekking, kan een patellafractuur de werking van de knie ernstig verstoren.


Bij wie komt het voor?
Een patellafractuur kan in principe bij iedereen voorkomen, maar typische omstandigheden zijn:
- Ongevallen: De meest voorkomende oorzaak is direct trauma, zoals een val op een gebogen knie of een verkeersongeval waarbij de knie de klap opvangt (bv. als voetganger tegen een bumper, of de knie slaat tegen het dashboard bij een auto-ongeval). Dergelijke scenario’s kunnen bij zowel jongere als oudere personen gebeuren.
- Sportblessures: Hoewel relatief zeldzaam in sport, kan een patellafractuur optreden bij sporten met hoge impact.
- Arbeidsongevallen: Iemand die op de knie wordt getroffen door een zwaar object (bijvoorbeeld een gereedschap dat valt) of knielt op een uitstekende harde punt, kan de knieschijf breken.
- Overmatige spanning (zeldzaam): In zeldzame gevallen kan de patella breken door een zeer krachtige plotse samentrekking van de dijspier, bijvoorbeeld bij een explosieve beweging. Dan scheurt de quadricepspees soms een stukje patella af. Dit komt eerder voor bij een reeds verzwakte knieschijf (bv. door eerdere patellaire aandoeningen).
- Ouderen: Personen met osteoporose of zwakkere botten kunnen een patellafractuur oplopen bij relatief minder hevige trauma’s dan jongere mensen, bijvoorbeeld simpelweg struikelen en op de knie vallen op een harde ondergrond kan bij een oudere tot een gebroken knieschijf leiden, terwijl een jonger iemand daarmee misschien alleen kneuzing zou hebben.
Wat zijn de symptomen?
Een gebroken knieschijf (patellafractuur) leidt tot duidelijke knieklachten:
- Kniepijn: Direct na de breuk is er scherpe pijn vooraan in de knie. De pijn is gelokaliseerd rond de knieschijf en kan uitstralen naar boven (dij) of beneden (scheenbeen).
- Zwelling: De knie zwelt snel op. Binnen enkele minuten tot uren ontstaat er een forse zwelling rond de knieschijf en in het kniegewricht. Dit komt doordat bij de breuk bloed vrijkomt in het gewricht (hemartrose). De knie kan gespannen aanvoelen door die zwelling.
- Onvermogen de knie te strekken: Een belangrijk kenmerk bij een volledige patellafractuur is het onvermogen om de knie actief te strekken of het been gestrekt op te tillen. De knieschijf vormt het verbindingspunt tussen de quadricepspees en de kniepees; bij een breuk in de knieschijf is die verbinding verbroken, waardoor de knie niet meer actief kan worden gestrekt.
- Instabiliteit van de knieschijf: Soms voelt of ziet men dat de knieschijf in twee delen is. Er kan een spleet of verplaatsing voelbaar zijn tussen de fragmenten. Bij aanraking kan men soms de losse bovenzijde en onderzijde afzonderlijk bewegen.
- Pijn bij druk en beweging: Druk op de knieschijf is zeer pijnlijk. Proberen de knie te buigen lukt nauwelijks door de pijn en de mechanische blokkade.
- Bloeduitstorting: Enkele dagen na het letsel verschijnt vaak een blauwe plek rond de knie en op het onderbeen ten gevolge van de bloeduitstorting. De verkleuring kan ook zichtbaar worden aan de achterkant van de knie of in de omliggende huid.
- Bij een gedeeltelijke patellafractuur kunnen de symptomen milder zijn: de patiënt kan de knie misschien nog min of meer strekken, maar met pijn, en de zwelling kan iets minder uitgesproken zijn. Een volledig doorgescheurde knieschijf geeft echter het klassieke beeld van onmogelijke actieve strekking en snelle zwelling.
Hoe stelt de arts de diagnose?
Om de diagnose patellafractuur te bevestigen zal de arts:
1. Anamnese: vragen naar het ongevalsmechanisme en de klachten (kon u nog stappen of de knie strekken?). Het typische verhaal is dat de patiënt na een val op de knie niet meer kon steunen en de knie dik werd.
2. Klinisch onderzoek: De arts bekijkt de knie. Zwelling aan de voorkant en eventueel een schaafwond of blauwe plek op de knieschijf zijn aanwijzingen voor breuk van de knieschijf. De arts voelt aan de knieschijf: vaak is er drukpijn over de patella en kan een onderbreking of onregelmatigheid gevoeld worden. De actieve strekfunctie wordt getest: de patiënt wordt gevraagd het gestrekte been een paar cm op te tillen van de onderzoekstafel (straight leg raise). Bij een volledige patellafractuur lukt dit niet. Dit wijst op onderbreking van het strekapparaat. Verder wordt gecontroleerd of er sprake is van een open fractuur met een wonde tot de breuk.
3. Beeldvorming: Een röntgenfoto van de knie wordt altijd gemaakt bij een vermoeden van patellafractuur. Meestal in voorachterwaartse en zijwaartse richting. Hierop is de breuklijn in de knieschijf zichtbaar en kan men zien of de fractuur verplaatst is. Als de fractuur niet goed zichtbaar is maar men vermoedt toch een barst, kan in enkele gevallen een CT-scan gedaan worden, maar doorgaans is de röntgenfoto voldoende.
Wanneer naar een volgende stap?
Behandeling
De behandeling van een patellafractuur hangt af van de aard van de breuk (wel of niet verplaatst) en de integriteit van het strekmechanisme. Globaal zijn er twee opties.
Stap 1: Eerste hulp: Onmiddellijk na het letsel krijgt de patiënt pijnstilling en wordt de knie geïmmobiliseerd in gestrekte stand. Dit gebeurt vaak met een tijdelijke spalk of een kniebrace die de knie recht houdt. Ijsapplicatie helpt de zwelling te verminderen. Deze eerste maatregelen voorkomen dat de botdelen verder verplaatsen en verlichten de pijn.
Stap 2: Conservatieve behandeling (zonder operatie): Als de patellafractuur niet of minimaal verplaatst is, kan een niet-operatieve behandeling volstaan. Criteria zijn vaak: minder dan ~2-3 mm opening tussen de fragmenten en behoud van actieve strekfunctie van het been. In dat geval wordt de knie in gestrekte positie gehouden met een gips of brace voor ongeveer 1 tot 2 weken. Afhankelijk van het type breuk mag de patiënt stappen met de knie in gestrekte houding en progressief de knie onbelast mobiliseren in een scharnierbrace. Nadien is kinesitherapie nodig om de wat stijve knie weer soepel te maken en de spierkracht terug op te bouwen. Bij een conservatieve aanpak is het belangrijk regelmatig controlefoto’s te maken om te zien of de breukdelen niet alsnog uit elkaar wijken tijdens het genezen.
Stap 3: Operatie: Als de fractuurdelen uit elkaar staan of als de knieschijf in meerdere stukken gebroken is, dan is een operatie aangewezen. Onder verdoving worden de brokstukken terug op hun plaats gezet (reductie). Vaak wordt een zogenaamde spanningsband (tension band wiring) techniek gebruikt: twee metalen pennetjes worden door de patella-fragmenten geboord, en daar omheen wordt een figuur-8 van staaldraad aangebracht die als een beugel de stukken bijeen knijpt. Deze techniek zet de breuk stevig vast en gebruikt de spierkracht zelf om de breuk dicht te drukken bij het buigen. Bij bepaalde breuken worden schroeven gebruikt in plaats van pinnetjes. Als de knieschijf in meerdere verbrijzelde stukken ligt, kan de chirurg besluiten of een deel van de knieschijf te verwijderen of een herstel met een plaatje en meerdere schroeven uit te voeren.
Na een osteosynthese controleert men met röntgenfoto’s of de breuk goed gerepositioneerd is. De knie wordt in een gestrekte spalk of scharnierbrace geplaatst. Reeds na enkele dagen tot een week mag men meestal voorzichtig beginnen met begeleide bewegingsoefeningen van de knie, afhankelijk van pijn en stabiliteit. Na zowel conservatieve als operatieve trajecten volgt een revalidatieperiode. De nadruk ligt op het herwinnen van kniebuiging en het versterken van de bovenbeenspieren. Dit gebeurt met kinesitherapie. Bij operatieve behandeling kan later het metaal (pennetjes/draad) eventueel verwijderd worden als het klachten geeft – vaak blijft het zitten tenzij het stoort.

Prognose
De vooruitzichten na een patellafractuur zijn over het algemeen goed, zeker bij tijdige en passende behandeling:
- Botgenezing: De knieschijf is goed doorbloed en geneest meestal zonder problemen binnen ~6 weken. Bij conservatieve behandeling vormt zich kalk die de breuk dichtgroeit. Na een geslaagde operatie is de fractuur anatomisch hersteld en groeit weer aan elkaar vast. Afwijkende genezing (non-union) is zeldzaam, maar in zeldzame gevallen kan het voorkomen indien fragmenten te klein zijn of bij een slechte bloedvoorziening.
- Kniesterkte en functie: Bij een ongecompliceerde patellafractuur kunnen de meeste patiënten de knie weer goed gebruiken. Men kan doorgaans de knie weer volledig strekken en het been optillen, vooral als de breuk goed hersteld is en de patiënt goed revalideerde. Na immobilisatie is de knie stijf, maar met oefenen bereiken velen weer 100-130° buiging. Volledige diepe hurkzit (meer dan 135° buigen) is vaak niet bij iedereen haalbaar.
- Kracht: De quadricepsspier verzwakt snel door immobilisatie en trauma. Met oefentherapie wordt deze weer versterkt. Na ~3 maanden is de kracht meestal flink verbeterd, al kan het wel 6 maanden duren voor men bijna gelijke kracht heeft als voorheen. Sommige patiënten houden een gering krachtsverlies (met name bij traplopen of springen merkbaar) door littekenweefsel of als een deel van de patella is verwijderd.
- Pijnklachten: Zodra de breuk genezen is, verdwijnt de scherpe botpijn. Wel kunnen patiënten nog enige tijd last hebben van pijn vooraan in de knie bij bijvoorbeeld op de knieën gaan of trappen lopen. Meestal neemt dit in de loop van maanden verder af. In een klein percentage van gevallen ontstaat later patellofemorale artrose (slijtage achter de knieschijf) door kraakbeenschade bij de fractuur, wat blijvende voorste kniepijn kan geven bij belasten (zoals langdurig trappenlopen of hurken).
- Bewegingsbeperking: Enkele patiënten houden een lichte beperking: bijvoorbeeld de knie wil niet meer volledig plooien of strekken. Als de restfunctie > 90° buiging en volledig bijna strekken is, kan men dagelijkse activiteiten goed doen.
- Complicaties: Wondinfectie na operatie is ongewoon maar kan optreden en wordt dan met antibiotica of een spoeling behandeld. Metaaldraad of pinnetjes kunnen soms onder de huid irriteren (men voelt het zitten of het kan bij knielen pijn geven); indien hinderlijk kan het metaal na 6 maanden verwijderd worden, doorgaans na volledig herstel.
- Terugkeer naar activiteiten: Na 2-3 maanden kan men meestal terug aan het werk als dit licht werk is. Zwaardere fysieke arbeid of sport zal langer duren, soms 4-6 maanden, totdat kracht en beweeglijkheid voldoende zijn. Uiteindelijk kunnen veel patiënten weer normaal lopen, fietsen, zwemmen, autorijden,... High-impact sporten (rennen, springen) lukt weer bij jongere sporters, al kan een enkeling hinder blijven houden en kiezen om dat te minderen. Knielen op een harde ondergrond blijft vaak gevoelig, door litteken en eventuele irritatie van het bot.
Conclusie
Een patellafractuur is een breuk van de knieschijf die meestal ontstaat door een direct trauma op de knie. Het kenmerkt zich door pijn, zwelling en het onvermogen de knie actief te strekken. De diagnose wordt bevestigd met röntgenonderzoek. Bij een gebroken knieschijf die niet verplaatst is, volstaat vaak een gips of brace zodat de breuk vanzelf geneest. In geval van een verplaatste fractuur of functieverlies is een operatie aangewezen om de fragmenten met draad en schroeven te fixeren en het kniegewricht te herstellen. De vooruitzichten zijn doorgaans goed: met de juiste behandeling groeit de knieschijf weer aan elkaar en keert de knie-functie grotendeels terug. Revalidatie met oefeningen is cruciaal om de knie weer soepel te krijgen en spierkracht op te bouwen. De meeste patiënten kunnen hun dagelijkse activiteiten hervatten zonder ernstige beperkingen. Wel is geduld nodig, want volledig herstel van een gebroken knieschijf kan enkele maanden duren. Uiteindelijk resulteert een goed behandelde patellafractuur meestal in een stabiele, functionele knie met slechts kleine restverschijnselen.
Maak een afspraak
Online
Het is mogelijk om je afspraak online vast te leggen via onderstaande link.
Telefonisch
Maak je je afspraak liever telefonisch? Dan kan je terecht bij ons secretariaat:
Maak een afspraak
Maak je je afspraak liever telefonisch? Dan kan je terecht bij ons secretariaat:
Veel gestelde vragen
Hoe herken ik een gebroken knieschijf?
Je voelt hevige pijn vooraan de knie en kunt het been niet actief strekken. Vaak voel je een opening of trapje midden op de knieschijf.
Moet een gebroken knieschijf altijd geopereerd worden?
Niet-verplaatste breuken behandelt men met een knie-immobilisatie gedurende vier tot zes weken. Verplaatste breuken vragen een operatie met cerclage en/of schroeven.
Hoelang duurt het herstel?
Het bot heelt in zes tot acht weken. Volledige strekking en kracht keren terug na drie tot vier maanden revalidatie.
Wanneer mag ik weer steunen?
Steunen op een gestrekte knie mag meestal direct met krukken. Plooien gebeurt geleidelijk volgens schema van de kinesitherapeut.
Wat als ik mijn knie niet meer kan strekken?
Onmogelijkheid tot actief strekken (extensor lag) wijst op een afgescheurde quadriceps- of patellapees of op een ernstige patellabreuk. Snelle controle is dan nodig.
Welke artsen behandelen een gebroken knieschijf in Turnhout?
Dr. Thierry De Baets, Dr. Erik Vanlommel en Dr. William Colyn van Orthopedie Turnhout volgen patellabreuken op.

.png)

