Traumatologie
Enkelbreuk
Een enkelbreuk betekent dat één of meerdere botten in de enkel gebroken zijn. Ontdek hoe de diagnose verloopt en wat de behandeling inhoudt.
Inhoud
Enkelbreuk
Wat is het?
Bij wie komt het voor?
Wat zijn de symptomen?
Hoe stelt de arts de diagnose?
Wanneer naar een volgende stap?
Behandeling
Prognose
Conclusie
Wat is het?
Een enkelbreuk is een breuk van één of meerdere botten in de enkel. Vaak is de buitenenkel (het uiteinde van het kuitbeen) gebroken, maar ook de binnenenkel (uiteinde van het scheenbeen) kan breken. Soms zijn beide kanten van de enkel gebroken (bimalleolaire enkelfractuur). Bij de ergste gevallen is er ook een breuk aan het uiteinde van de achterzijde van het scheenbeen Een enkelbreuk ontstaat meestal door een ongeval of verkeerde beweging, bijvoorbeeld een harde val, een sportblessure of een verkeersongeluk. Bij een minder harde verzwikking van de enkel kunnen ook de enkelbanden scheuren (enkeldistorsie), maar bij een enkelbreuk is er echt bot gebroken.
Bij wie komt het voor?
Een enkelbreuk kan op alle leeftijden voorkomen:
- Sporters: bij sporten met veel sprong- en draaibewegingen (zoals voetbal of basketbal) bestaat het risico op een enkelbreuk bij een verkeerde landing of tackle.
- Ouderen: door brozere botten (osteoporose) krijgen senioren sneller een enkelbreuk bij een banale val, bijvoorbeeld thuis van de trap of op straat bij het misstappen van een stoep.
- Verkeersongevallen: bij auto- of motorongevallen kan het onderbeen ernstig verdraaid of geplet raken, wat vaak tot complexe enkelfracturen leidt.
Wat zijn de symptomen?
Bij een enkelbreuk treden direct na het letsel de volgende symptomen op:
- Hevige pijn: er is meteen scherpe pijn rond de enkel. Een gebroken enkel gaat gepaard met pijn bij elke beweging of poging tot steunen.
- Zwelling en bloeduitstorting: de enkel zwelt snel op. Binnen enkele uren ontstaat een flinke blauwe plek rond of onder de enkel door inwendig bloedverlies.
- Misvorming: als de botstukken verplaatst zijn, kan de enkel er misvormd uitzien of onder een abnormale hoek staan. In ernstige gevallen steekt een stuk bot door de huid naar buiten (open fractuur).
- Niet kunnen lopen: op het been staan of lopen is vrijwel onmogelijk bij een gebroken enkel. Soms is bij minder ernstige breuken nog minimale steun mogelijk, maar dit wordt sterk afgeraden om verdere schade te voorkomen.
Hoe stelt de arts de diagnose?
Bij vermoeden van een enkelbreuk zal de arts:
1. Anamnese (vraaggesprek): vragen hoe je door je enkel bent gegaan of gevallen bent en of je nog kon steunen na het trauma.
2. Lichamelijk onderzoek: de enkel wordt geïnspecteerd op zwelling, standafwijking en drukpijn. De arts controleert of er wondjes zijn en of de doorbloeding en zenuwfunctie in de voet normaal zijn. Bij een duidelijk afwijkende stand wordt de enkel voorzichtig rechtgezet en tijdelijk gespalkt.
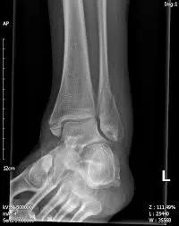
3. Beeldvorming: er wordt een röntgenfoto van de enkel gemaakt om de diagnose te bevestigen. Hierop is de enkelbreuk zichtbaar en kan de arts beoordelen wat voor type breuk het is. Soms wordt een CT-scan gedaan om de details van de breuk en eventuele gewrichtsschade beter in kaart te brengen, vooral bij complexe enkelfracturen.
Wanneer naar een volgende stap?
Behandeling
De behandeling van een enkelbreuk hangt af van de stabiliteit en verplaatsing van de breuk:
Stap 1: Conservatieve behandeling (gips): als de botdelen niet of nauwelijks verplaatst zijn en de enkel stabiel is, kan een behandeling zonder operatie volstaan. De arts of verpleegkundige legt een gipsverband of brace aan om de enkel te immobiliseren. Dit voor meestal 6 weken. Je mag in de eerste fase doorgaans niet of slechts gedeeltelijk op de voet steunen, vaak wordt na enkele weken steunen wel toegelaten.
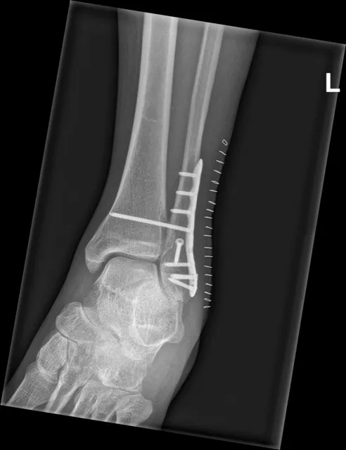
Stap 2: Operatieve behandeling: bij een verplaatste of instabiele enkelbreuk is een operatie meestal noodzakelijk. Onder verdoving brengt de orthopedisch chirurg de botstukken weer op hun plaats (open repositie). Vervolgens worden de breuken gefixeerd met metalen platen en schroeven (osteosynthese). Soms wordt bij zeer complexe breuken eerst een externe fixateur (uitwendig frame) geplaatst om de enkel tijdelijk te stabiliseren als de weke delen erg gezwollen zijn; later volgt dan de definitieve operatie. Na de operatie krijg je een gips of walker voor enkele weken ter bescherming.
Stap 3: Revalidatie: zowel na een gipsbehandeling als na een operatie is revalidatie belangrijk voor het herstel van je gebroken enkel. Een kinesitherapeut helpt met mobiliserende oefeningen zodra dit is toegestaan, om de enkel soepel te houden. Geleidelijk mag je de enkel weer belasten volgens het advies van de arts. Volg altijd het schema van je arts: te vroeg belasten kan het herstel vertragen of de breuk doen verschuiven.


Prognose
Over het algemeen geneest een enkelbreuk goed, al duurt het herstel enkele maanden. Het bot heeft ongeveer 6 weken nodig om weer aan elkaar te groeien. Daarna is vaak verdere oefentherapie nodig om de enkel weer volledig beweeglijk en sterk te maken. Het gebroken enkel herstel verloopt sneller bij jonge, fitte mensen dan bij oudere patiënten. Na een operatie kunnen de platen en schroeven soms wat irritatie geven; deze worden bij hinder eventueel verwijderd na een jaar. De meeste mensen kunnen na een enkelbreuk weer normaal lopen en hun activiteiten hervatten. Bij ernstige enkelfracturen bestaat wel een risico op blijvende stijfheid of slijtage (artrose) van het enkelgewricht.
Conclusie
Een enkelbreuk is een veelvoorkomend letsel dat optreedt wanneer een of meerdere beenderen die de enkel vormen, breken. Tijdige medische zorg is cruciaal. Met een goede behandeling – gipsimmobilisatie of operatie – groeien de botten meestal weer correct aan elkaar. Nadien is revalidatie nodig om de enkel terug soepel te maken. Dankzij de juiste zorgen is de prognose na een dergelijke breuk doorgaans uitstekend: de meeste patiënten kunnen na het herstel gebroken enkel weer normaal lopen en hun dagelijkse activiteiten hervatten.
Maak een afspraak
Online
Het is mogelijk om je afspraak online vast te leggen via onderstaande link.
Telefonisch
Maak je je afspraak liever telefonisch? Dan kan je terecht bij ons secretariaat:
Maak een afspraak
Maak je je afspraak liever telefonisch? Dan kan je terecht bij ons secretariaat:
