Traumatologie
Onderbeenfractuur
Een onderbeenfractuur is een breuk van het scheenbeen of kuitbeen (gebroken onderbeen). Lees meer over de symptomen, diagnose en behandeling.
Inhoud
Onderbeenfractuur
Wat is het?
Bij wie komt het voor?
Wat zijn de symptomen?
Hoe stelt de arts de diagnose?
Wanneer naar een volgende stap?
Behandeling
Prognose
Conclusie
Wat is het?
Een onderbeenfractuur is een botbreuk in het onderbeen, het gedeelte tussen de knie en enkel. Het onderbeen bestaat uit twee botten: het stevige scheenbeen en het dunne kuitbeen. Bij een onderbeenfractuur is meestal het scheenbeen gebroken, vaak samen met het kuitbeen. We spreken dan van een gebroken onderbeen. Soms breekt alleen één van deze botten. Een onderbeenfractuur ontstaat meestal door een trauma, zoals een verkeersongeval, een val van hoogte of een sportongeval.
Bij wie komt het voor?
Een onderbeenfractuur kan iedereen treffen, maar komt vaker voor bij:
- Jongvolwassenen en sporters: door hoog energetische ongevallen (bv. skiën, voetbal of verkeersongevallen) waarbij veel kracht op het onderbeen komt.
- Ouderen: bij mensen met broze botten kan een relatief kleine val of misstap al leiden tot een botbreuk in het onderbeen.
- Osteoporose-patiënten: mensen met botontkalking lopen meer risico dat bij een kleinere impact al een onderbeen fractuur ontstaat.
Wat zijn de symptomen?
Kenmerkende symptomen van een onderbeenfractuur zijn:
- Erge pijn in het onderbeen: direct na het letsel ontstaat hevige pijn ter hoogte van het scheenbeen of kuitbeen. Bewegen of staan is zeer pijnlijk.
- Zwelling en bloeduitstorting: het onderbeen zwelt snel op en wordt dik. Vaak verschijnt een blauwe plek rond de breuk.
- Misvorming: bij een verplaatste onderbeenfractuur kan het been in een abnormale hoek staan of verkort lijken. Soms steekt een botpunt onder de huid uit (open fractuur).
- Niet kunnen belasten: meestal is het niet mogelijk om nog op het gebroken been te staan of te lopen. Bij een geïsoleerde breuk van alleen het kuitbeen kan beperkt steunen soms nog, maar dit is erg pijnlijk.
Hoe stelt de arts de diagnose?
De arts vermoedt een onderbeenfractuur op basis van het ongevalsmechanisme en de klachten. Bij het onderzoek zal de arts:
1. Vragen stellen (anamnese): vragen hoe het ongeval gebeurde en waar de pijn zit. Ook wordt nagegaan of de patiënt nog kon stappen of het been direct niet meer kon gebruiken.
2. Lichamelijk onderzoek: het onderbeen wordt onderzocht op abnormale stand, zwelling en drukpijn. De arts controleert of zenuwen en bloedvaten intact zijn (pols in de voet, gevoel in de voetzool). Bij een open wond wordt deze beoordeeld (een open fractuur is een spoedgeval wegens infectierisico).
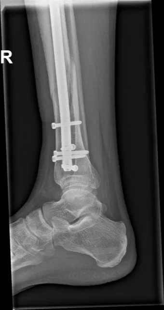
3. Beeldvorming: om de diagnose te bevestigen wordt een röntgenfoto van het onderbeen gemaakt. Hierop is te zien welk bot gebroken is en of de botstukken verplaatst zijn. Bij complexe breuken (bijv. als de breuk tot in het enkel- of kniegewricht loopt) kan een CT-scan worden gedaan voor meer detail.
Wanneer naar een volgende stap?
Behandeling
De behandeling van een onderbeenfractuur hangt af van de ernst en het type breuk. Vaak wordt er stapsgewijs gewerkt:
Stap 1: Eerste zorgen en immobilisatie: bij vermoeden van een onderbeenfractuur moet het been meteen geïmmobiliseerd worden. Het been hoog leggen helpt zwelling te verminderen. In het ziekenhuis krijgt de patiënt pijnstilling en zo nodig wordt de positie van de botten voorzichtig rechtgezet (gesloten repositie) en vervolgens een gips aangelegd om verdere schade te voorkomen.
Stap 2: Conservatieve behandeling (gips): is de onderbeenfractuur niet of nauwelijks verplaatst en stabiel, dan kan een behandeling zonder operatie volstaan. De botstukken worden in correcte stand gezet en het gehele onderbeen krijgt een gipsverband. Dit gips blijft doorgaans 6–8 weken zitten. De patiënt mag in die periode meestal niet of slechts minimaal op het been steunen (lopen met krukken), tot de breuk voldoende genezen is.
Stap 3: Operatieve behandeling: bij een verplaatste of instabiele onderbeenfractuur is een operatie vrijwel altijd nodig. De orthopedisch chirurg zet tijdens de operatie de botdelen weer passend op elkaar en stabiliseert de breuk. Vaak gebeurt dit met een metalen nagel in het scheenbeen (intramedullaire nagel) of met platen en schroeven op het bot. Bij zeer complexe verbrijzelde breuken of wanneer de weke delen ernstig gekwetst zijn, kan tijdelijk een uitwendig fixatieframe (externe fixateur) worden geplaatst om de breuk extern te stabiliseren. Na de operatie krijgt het been weer gips of een spalk voor enkele weken ter bescherming.
Stap 4: Revalidatie: revalidatie is belangrijk voor een goed herstel. Een kinesitherapeut helpt bij het herwinnen van mobiliteit en spierkracht. Zodra de breuk voldoende genezen is, mag men geleidelijk weer meer belasten op advies van de arts. Oefeningen richten zich op het verbeteren van de enkel- en kniefunctie en het versterken van de beenspieren, zodat men weer normaal kan lopen.

Prognose
De meeste onderbeenfracturen genezen binnen enkele maanden. Bij een ongecompliceerde breuk is de botgenezing meestal na circa 3 maanden voltooid. Daarna kan het nog enkele maanden duren voordat volledige kracht en stabiliteit terugkeren. Bij oudere patiënten of complexe breuken kan genezing langer duren. Soms treden complicaties op, zoals een gestoorde botgenezing (non-union) waardoor een tweede ingreep nodig is, of lichte beenverkorting als de botten niet perfect uitgelijnd zijn. Ook kan na een ernstige onderbeenfractuur stijfheid in het enkel- of kniegewricht voorkomen, vooral als deze gewrichten betrokken waren bij de breuk. Dankzij fysiotherapie en goede opvolging herstellen de meeste patiënten echter weer voldoende om normale dagelijkse activiteiten te hervatten.
Conclusie
Een onderbeenfractuur (breuk van scheenbeen en/of kuitbeen) is een ernstig letsel dat onmiddellijke medische aandacht vereist. Gelukkig zijn de vooruitzichten na de behandeling goed: met gipsimmobilisatie of een operatie kunnen de botten weer aan elkaar groeien. Strikte opvolging van de revalidatie-instructies is essentieel voor een optimaal herstel. Zo kan men na een onderbeenfractuur meestal opnieuw goed
Maak een afspraak
Online
Het is mogelijk om je afspraak online vast te leggen via onderstaande link.
Telefonisch
Maak je je afspraak liever telefonisch? Dan kan je terecht bij ons secretariaat:
Maak een afspraak
Maak je je afspraak liever telefonisch? Dan kan je terecht bij ons secretariaat:
