Traumatologie
Olecranonfractuur
Alles over de olecranonfractuur: een breuk van de elleboogpunt. Symptomen, diagnose en behandelingen (gips of operatie) bij een gebroken elleboog.
Inhoud
Olecranonfractuur
Wat is het?
Bij wie komt het voor?
Wat zijn de symptomen?
Hoe stelt de arts de diagnose?
Wanneer naar een volgende stap?
Behandeling
Prognose
Conclusie
Wat is het?
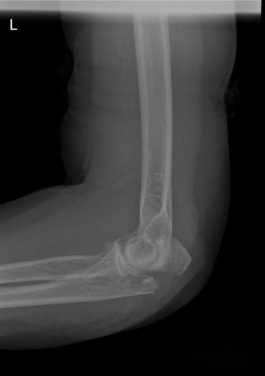
Een olecranonfractuur is een specifieke elleboogbreuk: de botbreuk zit in het uitstekende deel van de ellepijp (ulna) aan de achterzijde van de elleboog, het olecranon. Met andere woorden, bij een olecranonfractuur is er sprake van een breuk van de ellepijp ter hoogte van de elleboog. Aan het olecranon zit de pees van de triceps (de grote strekspier van de bovenarm) vast. Wanneer dit deel gebroken is, kan de functie van deze spier (het strekken van de arm) verstoord zijn. Een olecranonfractuur ontstaat meestal door een val direct op de punt van de elleboog of door een harde klap tegen de elleboog.

Bij wie komt het voor?
- Volwassenen: Een olecranonfractuur komt vaak voor bij volwassenen, bijvoorbeeld na een ongeluk of een val op de elleboog. Vooral bij valpartijen op middelbare of oudere leeftijd (wanneer de botten brozer zijn) zien we regelmatig een breuk van het olecranon.
- Sporters: Ook jongere mensen kunnen een olecranonfractuur oplopen, bijvoorbeeld bij contactsporten, een val van de trap of een verkeersongeval. Een harde directe impact op de elleboog kan op elke leeftijd dit letsel veroorzaken.
Wat zijn de symptomen?
- Felle pijn in de elleboog: Meteen na het trauma voelt u een scherpe pijn boven op de elleboog (ter hoogte van de ellepijp). De pijn verergert bij beweging van de arm.
- Zwelling en bloeduitstorting: De elleboog zwelt snel op en kan blauw verkleuren door onderhuidse bloedingen.
- Onvermogen om te strekken: Omdat de triceps spier aan het olecranon trekt, kunt u bij een olecranonfractuur vaak de arm niet meer actief volledig strekken. Dit is een belangrijk teken van een olecranonfractuur.
- Abnormale stand: Bij een duidelijk verplaatste olecranonfractuur kan een afwijkende stand van het bot zichtbaar of voelbaar zijn. Soms is er een voelbare kloof net achter de elleboog waar het bot gebroken is.
- Moeite met buigen: Het buigen van de elleboog kan beperkt zijn door pijn en zwelling, hoewel het vooral het strekken is dat problemen geeft bij dit letsel.
- Eventuele zenuwklachten: In enkele gevallen raakt de zenuw (nervus ulnaris) die vlak langs het olecranon loopt geïrriteerd of bekneld. Dit kan tintelingen of een doof gevoel veroorzaken aan de pinkzijde van de hand.
Hoe stelt de arts de diagnose?
- Anamnese: De arts vraagt hoe het letsel is gebeurd (bijvoorbeeld een val op de elleboog) en welke klachten u hebt. Ook informeert hij/zij of u de elleboog nog kunt strekken en of er tintelingen in de hand zijn.
- Klinisch onderzoek: De arts bekijkt de elleboog en voelt voorzichtig aan de punt van de elleboog (olecranon). Bij een olecranonfractuur is daar drukpijn en vaak een trapje te voelen als de botstukken uit elkaar staan. De arts test of u de arm nog kunt strekken tegen de zwaartekracht. Daarnaast controleert hij/zij de zenuwfunctie van de nervus ulnaris (gevoel in de pink) en de doorbloeding van de arm en hand.
- Technisch onderzoek: Een röntgenfoto bevestigt de diagnose olecranonfractuur. Hierop is te zien of de elleboogbreuk verschoven is en hoeveel fragmenten er zijn. Soms wordt een CT-scan gemaakt om de breuk in detail te beoordelen, vooral als een operatie overwogen wordt.
Wanneer naar een volgende stap?
Behandeling
Stap 1: Conservatieve behandeling (gips)
- Voorwaarden voor gips: Een olecranonfractuur kan zelden zonder operatie genezen, enkel als de breuk niet verplaatst is. In zo’n geval blijft de functie (het strekken) deels behouden ondanks de breuk.
- Gipsimmobilisatie: U krijgt een bovenarmgips of een spalk waarin de elleboog meestal in ongeveer 90° gebogen stand staat. Dit gips houdt de botdelen van de olecranonfractuur op hun plek zodat ze kunnen herstellen. Gipsbehandeling duurt doorgaans 4 tot 6 weken.
- Controle en mobilisatie: Tijdens de gipsperiode volgt de arts met regelmatige röntgenfoto’s of de positie van de botstukken goed blijft. Zodra het gips eraf mag, start u voorzichtig met het bewegen van de elleboog. Vaak is kinesitherapie nodig om het gewricht weer soepel te krijgen na het langdurig stilhouden.
Stap 2: Operatieve behandeling
- Indicatie voor operatie: In de meeste gevallen is een operatie nodig bij een olecranonfractuur. Zeker als de breuk verplaatst is, zal zonder operatie de elleboog niet goed kunnen genezen.
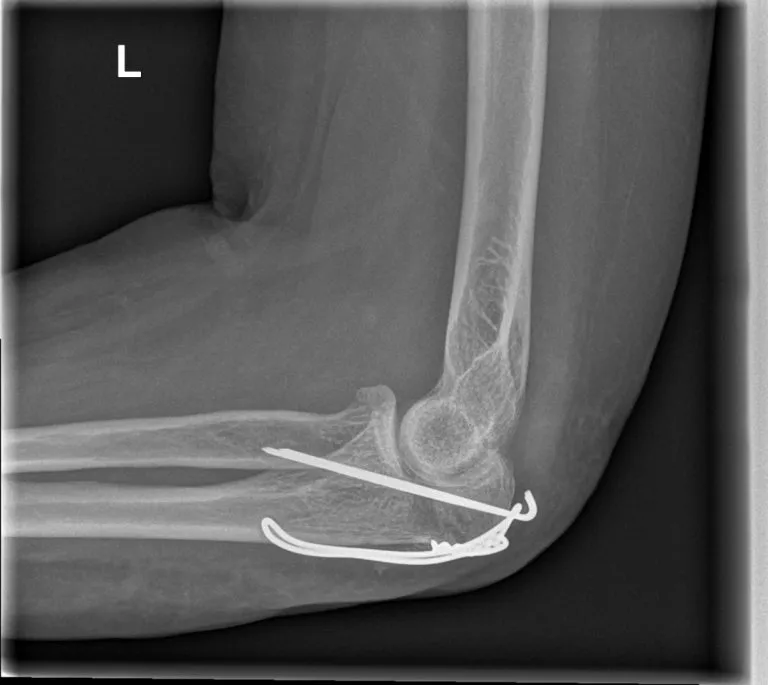
- Ingreep: De chirurg brengt onder verdoving de botfragmenten van de olecranonfractuur weer op de juiste plaats. Vervolgens worden ze vastgezet met metalen materiaal. Vaak gebruikt men een combinatie van pinnen en een staaldraad (tension-band cerclage techniek) om het afgebroken stukje ellepijp stevig vast te zetten. Als de breuk in meerdere stukken is, kan de arts ook kiezen voor een plaat en schroeven om alles te fixeren.
- Na de operatie: U krijgt een drukverband en heel korte tijd een spalk. Daarna mag u beginnen bewegen binnen de pijngrenzen. U wordt aangemoedigd om voorzichtig te beginnen met buigen en strekken van de elleboog. Wel mag u de eerste 6 weken de arm niet zwaar belasten of erop steunen.
- Verwijderen van materiaal: Omdat het metalen fixatiemateriaal vlak onder de huid zit bij de elleboog, kan dit na verloop van tijd irritatie geven. Als u last heeft van het uitstekende materiaal, kan de chirurg het verwijderen zodra de breuk volledig genezen is (meestal na 6 tot 12 maanden). Dit is geen verplichte ingreep; als het geen hinder geeft mag het materiaal blijven zitten.
- Revalidatie: Na een olecranonfractuur is oefentherapie belangrijk om de beweeglijkheid terug te winnen. Eenmaal de breuk genezen is, werkt u samen met de kinesitherapeut aan het vergroten van de buig- en strekbeweging van de elleboog en het versterken van de armspieren. De totale herstelperiode verschilt per persoon en de ernst van de breuk, maar reken op enkele maanden voordat de elleboog weer optimaal bruikbaar is.

Prognose
De meeste mensen herstellen goed van een olecranonfractuur, zeker bij een nauwkeurige positionering van het bot na een operatie. De elleboog kan echter langdurig stijf blijven. Bij ouderen of bij complexe breuken is de revalidatie intensiever en duurt het herstel vaak langer.
Conclusie
Een olecranonfractuur vereist een zorgvuldige aanpak om complicaties te vermijden. Met een goede opvolging en therapie is de kans op functioneel herstel groot, al kan de elleboog wat minder soepel blijven dan voorheen.
Maak een afspraak
Online
Het is mogelijk om je afspraak online vast te leggen via onderstaande link.
Telefonisch
Maak je je afspraak liever telefonisch? Dan kan je terecht bij ons secretariaat:
Maak een afspraak
Maak je je afspraak liever telefonisch? Dan kan je terecht bij ons secretariaat:
